Ten artykuł wyjaśni, jak dentyści numerują zęby, koncentrując się na systemie FDI/Viohla, najpopularniejszym w Polsce. Dzięki niemu zrozumiesz schematy uzębienia dorosłych i dzieci, co pozwoli Ci pewniej czuć się podczas wizyt w gabinecie stomatologicznym i lepiej rozumieć diagnozy.
Zrozumienie numeracji zębów przewodnik po systemie FDI dla dorosłych i dzieci
- System FDI (Viohla) to międzynarodowy standard numeracji zębów, powszechnie stosowany w Polsce i Europie, rekomendowany przez WHO.
- Numeracja opiera się na podziale jamy ustnej na cztery ćwiartki i używa dwóch cyfr: pierwsza oznacza ćwiartkę, druga konkretny ząb.
- Dla zębów stałych (u dorosłych) ćwiartki numerowane są od 1 do 4, a zęby w każdej ćwiartce od 1 do 8.
- Dla zębów mlecznych (u dzieci) ćwiartki numerowane są od 5 do 8, a zęby w każdej ćwiartce od 1 do 5.
- Dorosły człowiek posiada od 28 do 32 zębów stałych (z ósemkami), natomiast dziecko ma 20 zębów mlecznych.
- Znajomość tego systemu ułatwia komunikację z dentystą i zrozumienie planu leczenia.
Dlaczego dentyści numerują zęby i jak to pomaga pacjentom
Zastanawiałeś się kiedyś, dlaczego dentyści posługują się dziwnymi numerami, zamiast po prostu powiedzieć "boli mnie ten ząb na dole po lewej"? Odpowiedź jest prosta: standaryzowana numeracja zębów jest kluczowa w stomatologii. To nie jest kaprys, ale absolutna podstawa precyzyjnej komunikacji i bezpieczeństwa pacjenta. Wyobraź sobie sytuację, w której każdy dentysta używałby własnego opisu chaos byłby gwarantowany!
Dzięki ujednoliconemu systemowi, takiemu jak FDI, informacja o konkretnym zębie jest zawsze jednoznaczna. Niezależnie od tego, czy zmieniasz gabinet, czy potrzebujesz konsultacji u specjalisty, każdy stomatolog na świecie (przynajmniej w krajach stosujących FDI) będzie wiedział, o który ząb chodzi. To ujednolica komunikację między specjalistami, co jest niezwykle ważne dla precyzji diagnoz, planowania leczenia i prowadzenia dokumentacji medycznej. Choć na pierwszy rzut oka może wydawać się to skomplikowane, ma na celu ułatwienie pracy i zwiększenie bezpieczeństwa pacjenta. W końcu chodzi o Twoje zdrowie.
Tajemniczy szyfr, czyli o co chodzi w oznaczaniu zębów
Wielu pacjentów czuje się zagubionych, słysząc od dentysty o "zębie 16" czy "43". Często wydaje się, że to jakiś tajemniczy szyfr, dostępny tylko dla wtajemniczonych. Nic bardziej mylnego! Numeracja zębów to nie losowe liczby, lecz logiczny i spójny system. Każdy ząb ma swoje unikalne oznaczenie, które precyzyjnie identyfikuje jego położenie w jamie ustnej. To jak współrzędne geograficzne, tylko że dla zębów. Zrozumienie tego "szyfru" jest prostsze, niż się wydaje, a ja postaram się to wytłumaczyć w przystępny sposób.
Jak zrozumienie numeracji ułatwi Ci wizytę w gabinecie?
Znajomość podstaw numeracji zębów to prawdziwy game changer podczas wizyty u dentysty. Po pierwsze, pozwoli Ci lepiej śledzić przebieg leczenia. Kiedy dentysta powie, że "ząb 27 wymaga leczenia kanałowego", będziesz wiedzieć, o który konkretnie ząb chodzi, a nie tylko o "ten z tyłu na górze". Po drugie, możesz zadawać świadome pytania. Zamiast ogólnikowego "co mi jest?", możesz dopytać o stan konkretnego zęba, co buduje Twoje zaangażowanie w proces dbania o zdrowie jamy ustnej.
To również buduje zaufanie i zmniejsza stres związany z wizytą u dentysty. Kiedy rozumiesz, co się dzieje i o czym rozmawiacie, czujesz się pewniej i masz poczucie kontroli. Z mojego doświadczenia wiem, że pacjenci, którzy rozumieją numerację, są bardziej skłonni do przestrzegania zaleceń i aktywniejszego dbania o higienę. To naprawdę zmienia perspektywę!

Jak liczyć zęby stałe: Klucz do zrozumienia uzębienia dorosłych
Przejdźmy teraz do sedna, czyli do tego, jak dentyści liczą zęby stałe. To podstawa, którą musisz znać, aby w pełni zrozumieć swoje uzębienie i komunikację w gabinecie. Dla dorosłych pacjentów jest to najważniejsza część artykułu, ponieważ dotyczy bezpośrednio ich własnego zdrowia jamy ustnej.
Poznaj system FDI: Międzynarodowy standard obowiązujący w Polsce
W Polsce, podobnie jak w większości krajów europejskich, stosujemy system Viohla, znany również jako system FDI (Federation Dentaire Internationale). Jest to międzynarodowy standard, rekomendowany przez Światową Organizację Zdrowia (WHO), co świadczy o jego uniwersalności i praktyczności. System FDI opiera się na prostym, dwucyfrowym kodzie. Pierwsza cyfra oznacza konkretną ćwiartkę jamy ustnej, a druga cyfra identyfikuje konkretny ząb w tej ćwiartce. To naprawdę logiczne, gdy tylko zrozumiesz podział na ćwiartki.
Podział na cztery ćwiartki: Prosta zasada, którą musisz znać
Kluczem do zrozumienia systemu FDI jest podział jamy ustnej na cztery ćwiartki. Wyobraź sobie, że Twoja jama ustna jest podzielona na cztery części pionową linią biegnącą między dwoma górnymi i dwoma dolnymi siekaczami, oraz poziomą linią biegnącą wzdłuż linii zgryzu. Te ćwiartki są numerowane od 1 do 4, zgodnie z ruchem wskazówek zegara, patrząc na pacjenta od przodu.
- Ćwiartka 1: Prawa górna strona pacjenta.
- Ćwiartka 2: Lewa górna strona pacjenta.
- Ćwiartka 3: Lewa dolna strona pacjenta.
- Ćwiartka 4: Prawa dolna strona pacjenta.
Zapamiętanie tego podziału to już połowa sukcesu w rozszyfrowywaniu numeracji zębów stałych.
Krok po kroku: Jak odczytać numer konkretnego zęba? (np. co to znaczy "ząb 16" lub "ząb 43")
Teraz, gdy znasz ćwiartki, przejdźmy do konkretnych zębów. W każdej ćwiartce zęby stałe są numerowane od 1 do 8, zaczynając od siekacza przyśrodkowego (tego najbliżej środka ust) i idąc w stronę zębów trzonowych (tych z tyłu). Oto jak to wygląda:
- Pierwsza cyfra oznacza ćwiartkę (1, 2, 3 lub 4).
-
Druga cyfra oznacza konkretny ząb w tej ćwiartce:
- 1: Siekacz przyśrodkowy (tzw. jedynka)
- 2: Siekacz boczny (tzw. dwójka)
- 3: Kieł (tzw. trójka)
- 4: Pierwszy ząb przedtrzonowy (tzw. czwórka)
- 5: Drugi ząb przedtrzonowy (tzw. piątka)
- 6: Pierwszy ząb trzonowy (tzw. szóstka)
- 7: Drugi ząb trzonowy (tzw. siódemka)
- 8: Trzeci ząb trzonowy (tzw. ósemka, czyli ząb mądrości)
Dla przykładu, jeśli dentysta mówi o "zębie 16", oznacza to ząb z ćwiartki 1 (prawa górna pacjenta) i jest to szósty ząb w tej ćwiartce, czyli prawy górny pierwszy ząb trzonowy. Z kolei "ząb 43" to ząb z ćwiartki 4 (prawa dolna pacjenta) i jest to trzeci ząb w tej ćwiartce, czyli prawy dolny kieł. Proste, prawda?
Od siekaczy po ósemki: Ile dokładnie zębów ma dorosły człowiek?
Dorosły człowiek posiada zazwyczaj od 28 do 32 zębów stałych. Ta rozbieżność wynika z obecności lub braku zębów mądrości, czyli tzw. ósemek. Pełne uzębienie stałe składa się z:- 8 siekaczy: Cztery górne i cztery dolne, służące do odgryzania pokarmu.
- 4 kłów: Dwa górne i dwa dolne, ostre zęby do rozrywania.
- 8 zębów przedtrzonowych: Cztery górne i cztery dolne, pomagające w rozdrabnianiu.
- Od 8 do 12 zębów trzonowych: Cztery górne i cztery dolne (pierwsze i drugie trzonowce), plus ewentualnie cztery zęby mądrości (trzecie trzonowce). Służą one do dokładnego przeżuwania pokarmu.
Warto pamiętać, że nie u każdego ósemki się wyrzynają, a jeśli już, to często wymagają usunięcia ze względu na brak miejsca lub nieprawidłowe ułożenie. To właśnie dlatego liczba 32 zębów nie zawsze jest regułą.
Zęby mleczne pod lupą: Jak liczyć uzębienie u dziecka
Numeracja zębów mlecznych u dzieci również odbywa się za pomocą systemu FDI, ale z pewnymi kluczowymi różnicami. Jako rodzic, zrozumienie tego jest bardzo pomocne, gdy dentysta Twojego dziecka omawia stan jego uzębienia.Inna numeracja, ta sama zasada: Ćwiartki od 5 do 8
Podstawowa zasada podziału na ćwiartki jest taka sama jak u dorosłych jama ustna jest podzielona na cztery części. Różnica polega na numeracji tych ćwiartek. Dla zębów mlecznych używamy cyfr od 5 do 8, również zgodnie z ruchem wskazówek zegara, patrząc na dziecko od przodu:
- Ćwiartka 5: Prawa górna strona pacjenta (dziecka).
- Ćwiartka 6: Lewa górna strona pacjenta.
- Ćwiartka 7: Lewa dolna strona pacjenta.
- Ćwiartka 8: Prawa dolna strona pacjenta.
To proste rozróżnienie pozwala od razu zidentyfikować, czy mówimy o zębach stałych (ćwiartki 1-4) czy mlecznych (ćwiartki 5-8).
Praktyczny przykład: Jak dentysta oznacza zęby mleczne Twojego dziecka?
Podobnie jak u dorosłych, druga cyfra w numerze zęba mlecznego oznacza jego pozycję w danej ćwiartce. Jednakże, ponieważ dzieci mają mniej zębów mlecznych niż dorośli zębów stałych, numeracja w ćwiartce idzie tylko od 1 do 5:
- 1: Siekacz przyśrodkowy mleczny
- 2: Siekacz boczny mleczny
- 3: Kieł mleczny
- 4: Pierwszy ząb trzonowy mleczny
- 5: Drugi ząb trzonowy mleczny
Ile zębów ma dziecko i kiedy może spodziewać się pierwszych "stałych"?
Uzębienie mleczne składa się łącznie z 20 zębów: 8 siekaczy, 4 kłów i 8 zębów trzonowych. Jak już wspomniałem, u dzieci nie występują zęby przedtrzonowe. Proces wymiany zębów mlecznych na stałe to fascynujący etap rozwoju. Zaczyna się on zazwyczaj około 6. roku życia i trwa do około 12-13. roku życia. Pierwszymi stałymi zębami, które się pojawiają, są często pierwsze zęby trzonowe, znane jako "szóstki". Wyrzynają się one za ostatnimi zębami mlecznymi i nie zastępują żadnego zęba mlecznego, co często zaskakuje rodziców. To ważny moment, ponieważ "szóstki" są kluczowe dla prawidłowego zgryzu i wymagają szczególnej uwagi w higienie.
Czy numeracja zębów jest taka sama na całym świecie?
Chociaż system FDI jest dominujący w Polsce i Europie, warto wiedzieć, że na świecie istnieją również inne metody numeracji zębów. To poszerzy Twoją perspektywę i pozwoli zrozumieć, dlaczego w różnych źródłach możesz spotkać się z odmiennymi oznaczeniami.
System amerykański: Dlaczego w filmach słyszysz o "zębie numer 24"?
Jednym z najbardziej znanych alternatywnych systemów jest tzw. system uniwersalny, bardzo popularny w Stanach Zjednoczonych. Zamiast dzielić jamę ustną na ćwiartki, system ten numeruje zęby po kolei od 1 do 32. Numeracja zaczyna się od prawego górnego trzeciego trzonowca (ósemki) i biegnie wzdłuż górnego łuku do lewego górnego trzeciego trzonowca (ząb 16), a następnie przechodzi na lewy dolny trzeci trzonowiec (ząb 17) i biegnie wzdłuż dolnego łuku do prawego dolnego trzeciego trzonowca (ząb 32).
To właśnie dlatego w amerykańskich produkcjach filmowych lub serialach możesz usłyszeć o "zębie numer 24". Dla osoby zaznajomionej z systemem FDI może to być mylące, ale teraz wiesz, że to po prostu inna konwencja.
Historyczne metody, które powoli odchodzą w zapomnienie: System Palmera i Haderupa
Oprócz FDI i systemu uniwersalnego, w historii stomatologii stosowano (a czasem jeszcze sporadycznie stosuje się) inne metody numeracji. Jedną z nich jest system Palmera (znany również jako Zsigmondy'ego). Używa on cyfr od 1 do 8 dla każdego zęba w ćwiartce, ale zamiast pierwszej cyfry oznaczającej ćwiartkę, stosuje się znaki graficzne kąty, które symbolizują daną ćwiartkę. Na przykład, prawy górny pierwszy trzonowiec (nasza "16") byłby oznaczony jako 6 z kątem symbolizującym prawą górną ćwiartkę. Jest to trudniejsze w zapisie cyfrowym i mniej intuicyjne.
Innym, mniej popularnym systemem jest system Haderupa. Wykorzystuje on cyfry od 1 do 8, ale dodaje znaki "+" dla zębów górnych i "-" dla dolnych, a także symbolizuje stronę (np. +6 dla prawego górnego pierwszego trzonowca). Te historyczne metody powoli odchodzą w zapomnienie na rzecz bardziej uniwersalnych i łatwiejszych w cyfryzacji systemów, takich jak FDI.

Przeczytaj również: Ząb z ropą: czy można go usunąć? Ekspert wyjaśnia!
Od teorii do praktyki: Jak wykorzystać nową wiedzę o numeracji zębów
Zdobytą wiedzę o numeracji zębów możesz z powodzeniem wykorzystać w codziennym życiu i podczas wizyt u stomatologa. To nie tylko ciekawostka, ale praktyczne narzędzie, które zwiększy Twoje poczucie komfortu i kontroli nad własnym zdrowiem jamy ustnej.
Jak rozmawiać z dentystą, używając profesjonalnej numeracji?
Teraz, gdy znasz podstawy, możesz aktywnie uczestniczyć w rozmowie o swoim zdrowiu jamy ustnej. Oto kilka porad, jak wykorzystać znajomość numeracji zębów do efektywniejszej komunikacji z dentystą:
- Zadawaj precyzyjne pytania: Zamiast mówić "boli mnie ząb z tyłu", możesz powiedzieć "czuję ból w okolicy zęba 37". To znacznie ułatwi dentyście lokalizację problemu.
- Lepiej zrozum diagnozę: Kiedy dentysta mówi o "ubytku w zębie 26", będziesz dokładnie wiedzieć, o który ząb chodzi i gdzie znajduje się problem.
- Śledź postępy leczenia: Jeśli masz plan leczenia obejmujący kilka zębów, możesz łatwiej monitorować, które zęby zostały już wyleczone, a które jeszcze czekają na zabieg.
- Buduj zaufanie: Pokazując, że rozumiesz podstawy numeracji, budujesz wrażenie świadomego i zaangażowanego pacjenta, co może pozytywnie wpłynąć na relację z lekarzem.
Zachęcam Cię do aktywnego uczestnictwa w rozmowie o swoim zdrowiu jamy ustnej. To Twoje zęby i Twoje zdrowie masz prawo wiedzieć i rozumieć!
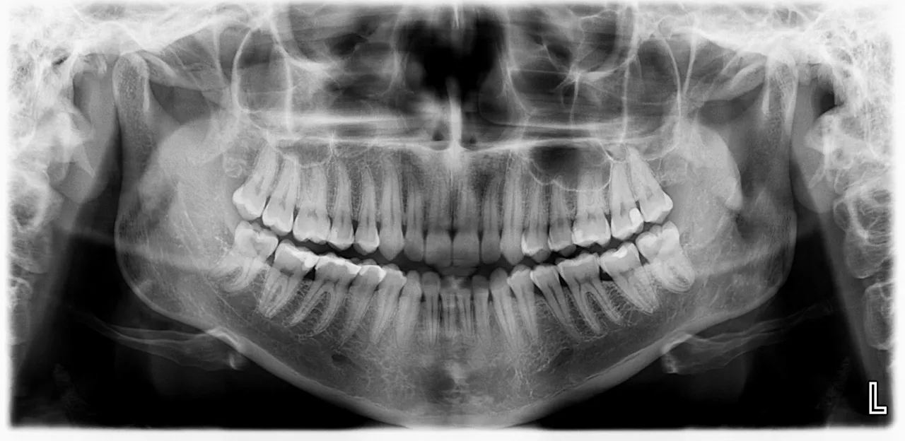
Zrozum swój pantomogram: Gdzie szukać oznaczeń zębów na zdjęciu RTG?
Pantomogram, czyli panoramiczne zdjęcie rentgenowskie, to jedno z najczęstszych badań diagnostycznych w stomatologii. Na takim zdjęciu często widoczne są oznaczenia zębów, zwłaszcza jeśli są one problematyczne lub wymagają szczególnej uwagi. Zazwyczaj numeracja w systemie FDI jest naniesiona bezpośrednio na obraz lub w jego pobliżu, co ułatwia identyfikację. Szukaj dwucyfrowych numerów umieszczonych obok poszczególnych zębów. Czasami na zdjęciu mogą być również strzałki lub okręgi wskazujące na konkretne zmiany, takie jak ubytki, stany zapalne czy zęby zatrzymane (np. ósemki). Zrozumienie numeracji pozwoli Ci lepiej interpretować to, co widzisz na zdjęciu, i świadomie rozmawiać z dentystą o wynikach diagnostyki. To kolejny krok do pełnego zrozumienia stanu swojego uzębienia.




