
DentystaDuda.pl - Twoje źródło wiedzy o zdrowiu i stomatologii
Zdrowie jamy ustnej na wyciągnięcie ręki
Witaj w naszym portalu, gdzie pasjonaci zdrowia i stomatologii dzielą się swoją wiedzą i doświadczeniem. DentystaDuda.pl to miejsce, w którym znajdziesz rzetelne informacje na temat profilaktyki, leczenia oraz najnowszych trendów w dziedzinie zdrowia jamy ustnej. Nasz zespół składa się z różnych autorów, którzy z entuzjazmem piszą o wszystkim, co związane z uśmiechem. Niezależnie od tego, czy szukasz porad dotyczących codziennej higieny, informacji o nowoczesnych metodach leczenia, czy też chcesz poznać najnowsze osiągnięcia w stomatologii, jesteś we właściwym miejscu. Zachęcamy do pozostania z nami i odkrywania, jak zadbać o swój uśmiech z naszą pomocą. Razem zadbamy o Twoje zdrowie jamy ustnej!
Polecane artykuły

Ból zęba mądrości (ósemki): Szybka ulga i kiedy do dentysty?
Cierpisz na ból zęba mądrości? Sprawdź domowe sposoby, leki bez recepty i objawy, które wskazują na pilną wizytę u dentysty. Znajdź ulgę!
Cierpisz na ból zęba mądrości? Sprawdź domowe sposoby, leki bez recepty i objawy, które wskazują na pilną wizytę u dentysty. Znajdź ulgę!
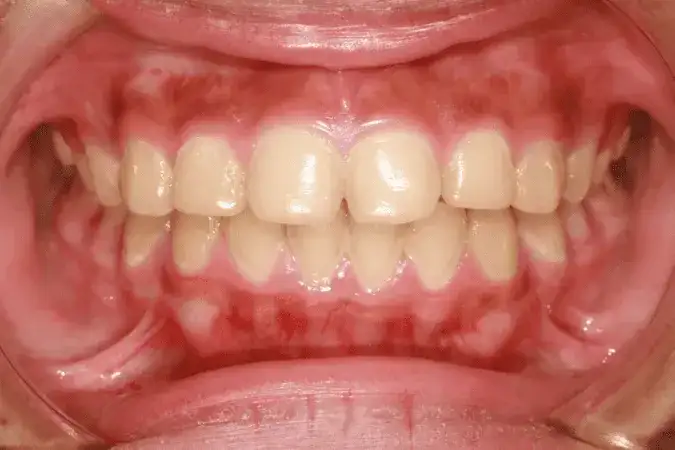
Stan zapalny jamy ustnej: Jak skutecznie leczyć? Domowe i prof.
Stan zapalny jamy ustnej? Odkryj skuteczne metody leczenia: od domowych płukanek, przez leki bez recepty, po profesjonalną pomoc. Sprawdź, kiedy iść do dentysty!
Co jeść z aparatem na zęby? Dieta bez bólu i uszkodzeń!
Co jeść z aparatem na zęby? Odkryj bezpieczną dietę na każdy etap leczenia! Poznaj listę produktów zakazanych i triki, by jeść komfortowo. Sprawdź!
Jak używać szczoteczki sonicznej Philips? Uniknij 3 błędów!
Chcesz wiedzieć, jak prawidłowo używać szczoteczki sonicznej Philips? Sprawdź nasz poradnik! Poznaj techniki, funkcje i unikaj błędów dla zdrowych zębów.
Kategoria Dentysta
Znieczulenie u dentysty: Ile trwa odrętwienie i jak je skrócić?
Odrętwienie po znieczuleniu u dentysty? Dowiedz się, ile trwa, od czego zależy i jak bezpiecznie przyspieszyć powrót czucia. Praktyczne porady eksperta.
Ból zęba? Co robi dentysta i jak Ci pomoże krok po kroku
Boli Cię ząb? Sprawdź, co robi dentysta! Poznaj diagnostykę, leczenie próchnicy, kanałowe i ekstrakcję. Dowiedz się, jak bezboleśnie rozwiązać problem.
Czy znieczulenie u dentysty opóźnia okres? Prawda o stresie
Czy znieczulenie u dentysty może opóźnić okres? Obalamy mit! Dowiedz się, dlaczego to stres, a nie środek znieczulający, wpływa na Twój cykl. Sprawdź, jak dbać o spokój.
Jak pokonać lęk przed dentystą? Bezbolesne leczenie i wsparcie
Boisz się dentysty? Odkryj, jak nowoczesne metody i wsparcie psychologiczne pomogą Ci pokonać lęk przed wizytą. Sprawdź bezbolesne leczenie!
Kategoria Aparaty na zęby
Jak długo nosi się aparat na zęby? Pełny przewodnik ortodonty
Zastanawiasz się, jak długo nosi się aparat na zęby? Poznaj średni czas leczenia (1,5-2 lata), czynniki wpływające na jego długość i rolę retencji. Sprawdź!
Jak wybrać ortodontę i gdzie założyć aparat na zęby? Koszty
Zastanawiasz się, gdzie założyć aparat na zęby? Poznaj kryteria wyboru ortodonty, koszty leczenia (prywatnie/NFZ) i uniknij błędów. Sprawdź nasz poradnik!
Stały aparat ortodontyczny: wygląd bez tajemnic. Wybierz swój!
Poznaj wygląd stałego aparatu ortodontycznego! Opisujemy zamki, łuki, gumki i typy: metalowe, estetyczne, lingwalne. Rozwiej obawy i przygotuj się na leczenie.
Jaki aparat na zęby? Przewodnik po rodzajach, kosztach i wyborze
Zastanawiasz się, jaki aparat na zęby wybrać? Porównaj aparaty stałe, ruchome i nakładki Invisalign. Sprawdź koszty, czas leczenia i komfort. Podejmij świadomą decyzję!

