Jestem Ignacy Wieczorek, analitykiem branżowym z wieloletnim doświadczeniem w obszarze zdrowia. Od ponad 10 lat zajmuję się badaniem trendów oraz innowacji w tej dziedzinie, co pozwala mi na dogłębną analizę i zrozumienie kluczowych zagadnień dotyczących zdrowia publicznego. Moje zainteresowania koncentrują się na nowoczesnych rozwiązaniach w medycynie, profilaktyce zdrowotnej oraz wpływie technologii na nasze zdrowie.
W mojej pracy kładę duży nacisk na uproszczenie skomplikowanych danych, aby były one zrozumiałe dla każdego czytelnika. Staram się dostarczać obiektywne analizy, które opierają się na rzetelnych źródłach i aktualnych badaniach. Moim celem jest zapewnienie czytelnikom dokładnych, aktualnych i wiarygodnych informacji, które pomogą im podejmować świadome decyzje dotyczące zdrowia. Wierzę, że edukacja w zakresie zdrowia jest kluczem do lepszego życia, dlatego z pasją dzielę się swoją wiedzą na łamach dentystaduda.pl.
Czy dentysta przyjmie z opryszczką? Dowiedz się, dlaczego aktywna opryszczka to przeciwwskazanie. Poznaj ryzyko, co robić i kiedy bezpiecznie wrócić do gabinetu.
Problemy z dziąsłami w ciąży? Odkryj bezpieczne domowe sposoby na ból i krwawienie oraz kiedy konieczna jest wizyta u dentysty. Zadbaj o siebie i maluszka!
Ząbkowanie spędza sen z powiek? Sprawdź, ile trwa wyrzynanie zęba, jakie objawy są normą i jak skutecznie ulżyć dziecku w bólu. Poznaj sprawdzone metody!
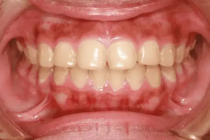
Czy zapalenie dziąseł jest zakaźne? Dowiedz się, czy możesz zarazić się od bliskich i jak skutecznie chronić zdrowie jamy ustnej. Sprawdź nasz poradnik!
Zastanawiasz się, jak długo nosi się aparat na zęby? Poznaj średni czas leczenia (1,5-2 lata), czynniki wpływające na jego długość i rolę retencji. Sprawdź!
Czy znieczulenie u dentysty może opóźnić okres? Obalamy mit! Dowiedz się, dlaczego to stres, a nie środek znieczulający, wpływa na Twój cykl. Sprawdź, jak dbać o spokój.