Liczba zębów u człowieka od 20 mleczaków do 32 zębów stałych
- Dzieci posiadają 20 zębów mlecznych.
- Dorośli mają od 28 do 32 zębów stałych.
- Różnica w liczbie zębów stałych wynika z obecności lub braku zębów mądrości (ósemek).
- Zęby mleczne są stopniowo zastępowane przez zęby stałe w procesie trwającym od około 6. do 12-13. roku życia.
- Istnieją cztery główne rodzaje zębów stałych: siekacze, kły, przedtrzonowce i trzonowce, każdy z nich pełni inną funkcję.
- Anomalie takie jak hiperdoncja (zęby nadliczbowe) lub hipodoncja (wrodzony brak zębów) mogą wpływać na całkowitą liczbę zębów.
Ile zębów ma człowiek? Odkryj kluczowe liczby
Podstawowa odpowiedź na pytanie o liczbę zębów u człowieka nie jest jednoznaczna, ponieważ zmienia się ona wraz z wiekiem. Dzieci przychodzą na świat bez zębów, by następnie wykształcić 20 zębów mlecznych. U dorosłych natomiast, liczba zębów stałych waha się zazwyczaj od 28 do 32. Ta zmienność wynika przede wszystkim z obecności lub braku zębów mądrości, o których opowiem szerzej w dalszej części artykułu.
Dlaczego liczba zębów zmienia się?
Zmiana liczby zębów jest naturalnym procesem rozwojowym, który zaczyna się u dzieci i trwa przez wiele lat. Wymiana uzębienia z mlecznego na stałe rozpoczyna się zazwyczaj około 6. roku życia i jest kontynuowana do około 12-13. roku życia. Mechanizm ten jest fascynujący: pod naciskiem wyrzynających się zębów stałych dochodzi do resorpcji, czyli stopniowego zaniku korzeni zębów mlecznych. To sprawia, że zęby mleczne stają się ruchome i w końcu wypadają, ustępując miejsca swoim stałym następcom. Jako stomatolog, zawsze podkreślam rodzicom, jak ważna jest dbałość o mleczaki, ponieważ ich przedwczesna utrata może wpłynąć na prawidłowe wyrzynanie się zębów stałych.

Pierwszy uśmiech dziecka: Zęby mleczne i ich znaczenie
Uzębienie mleczne, choć tymczasowe, odgrywa niezwykle ważną rolę w rozwoju dziecka nie tylko w procesie żucia, ale także w prawidłowym rozwoju mowy i kształtowaniu się kości szczęk. Dziecko posiada łącznie 20 zębów mlecznych: 10 w szczęce górnej i 10 w żuchwie. W skład tego zestawu wchodzi 8 siekaczy (po cztery w każdej szczęce), 4 kły (po dwa w każdej szczęce) oraz 8 zębów trzonowych (po cztery w każdej szczęce). Co ciekawe, w uzębieniu mlecznym nie występują zęby przedtrzonowe pojawiają się one dopiero w uzębieniu stałym, zastępując trzonowce mleczne.
Od pierwszego ząbka do pełnego uzębienia: Kalendarz ząbkowania
Proces ząbkowania jest indywidualny dla każdego dziecka, ale istnieją pewne ogólne ramy czasowe, które pomagają rodzicom zorientować się, czego mogą się spodziewać. Oto typowy kalendarz ząbkowania, który często przedstawiam w moim gabinecie:
- Około 6. miesiąca życia: Pojawiają się pierwsze zęby mleczne, zazwyczaj są to dolne siekacze.
- Od 6. do 12. miesiąca życia: Wyrzynają się kolejne siekacze, zarówno górne, jak i dolne.
- Około 16-22. miesiąca życia: Pojawiają się pierwsze zęby trzonowe mleczne.
- Około 16-22. miesiąca życia: Wyrzynają się kły mleczne.
- Około 24-33. miesiąca życia: Pojawiają się drugie zęby trzonowe mleczne, co zazwyczaj oznacza osiągnięcie pełnego uzębienia mlecznego (20 zębów) w wieku około 3 lat.
- Od około 6. do 14. roku życia: Rozpoczyna się proces wymiany zębów mlecznych na stałe, począwszy od pierwszych trzonowców stałych oraz siekaczy.

Uzębienie stałe: Twój kompletny zestaw
Kiedy mówimy o uzębieniu stałym, często pojawia się pytanie o dokładną liczbę zębów. Jak już wspomniałem, u dorosłego człowieka liczba ta wynosi od 28 do 32 zębów. Ta różnica wynika z obecności tak zwanych zębów mądrości, czyli trzecich trzonowców. Osoby, u których wszystkie cztery ósemki prawidłowo się wyrżnęły, mogą cieszyć się pełnym kompletem 32 zębów. Natomiast u tych, u których zęby mądrości nie wyrosły wcale, zostały usunięte lub występują w mniejszej liczbie, uzębienie stałe będzie liczyło 28, 29, 30 lub 31 zębów. To bardzo indywidualna kwestia, którą zawsze sprawdzam podczas rutynowych kontroli.
Rodzaje zębów stałych i ich strategiczne role
Każdy ząb w naszym uzębieniu stałym ma swoją unikalną budowę i funkcję, co pozwala na efektywne przetwarzanie pokarmu. Wspólnie tworzą one zgrany zespół, który umożliwia nam gryzienie, rozrywanie i miażdżenie jedzenia. Oto szczegółowy podział:
| Rodzaj zęba i liczba | Funkcja |
|---|---|
| Siekacze (8) | Służą do odgryzania i cięcia kęsów pokarmu. Są to przednie zęby, często najbardziej widoczne. |
| Kły (4) | Umożliwiają przytrzymywanie i rozrywanie jedzenia, dzięki swojej stożkowatej i ostrej budowie. |
| Przedtrzonowce (8) | Odpowiadają za wstępne rozgniatanie i rozcieranie pokarmu. Są to zęby przejściowe między kłami a trzonowcami. |
| Trzonowce (8-12) | Ich główną funkcją jest miażdżenie i dokładne rozcieranie pokarmu, przygotowując go do połknięcia. Liczba ta obejmuje zęby mądrości. |
Tajemnicze ósemki: Zęby mądrości i ich rola
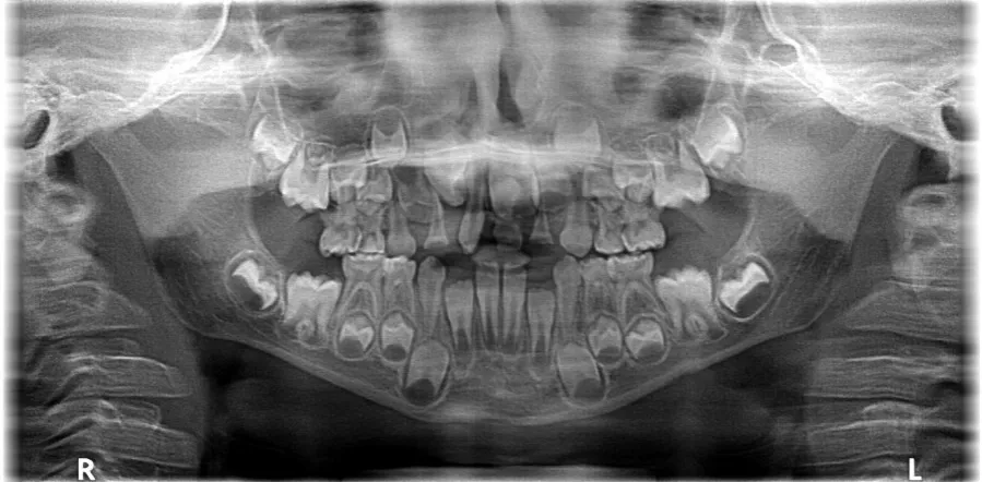
Zęby mądrości, znane również jako trzecie trzonowce, to najbardziej zagadkowe elementy naszego uzębienia. Zazwyczaj pojawiają się one najpóźniej, między 17. a 25. rokiem życia, choć zdarza się, że wyrzynają się później lub wcale. Nie u wszystkich osób ósemki w ogóle się rozwijają, co jest wynikiem ewolucyjnych zmian w budowie szczęki. U niektórych osób mogą występować tylko dwie lub trzy ósemki, a u innych żadna. Ich obecność jest często źródłem wielu pytań i dylematów, zarówno dla pacjentów, jak i dla mnie jako stomatologa.
Dlaczego zęby mądrości często sprawiają problemy?
Zęby mądrości są notorycznie znane z problemów, które mogą powodować. Główną przyczyną jest często brak wystarczającej ilości miejsca w łuku zębowym. Nasze szczęki stają się coraz mniejsze w toku ewolucji, co sprawia, że dla ósemek po prostu brakuje przestrzeni. W rezultacie zęby mądrości mogą wyrzynać się nieprawidłowo na przykład pod kątem, częściowo lub wcale nie wychodząc z dziąsła (tzw. zęby zatrzymane). Takie położenie sprzyja gromadzeniu się resztek pokarmu i bakterii, co zwiększa ryzyko próchnicy, stanów zapalnych dziąseł, a nawet tworzenia się torbieli.
Czy każdy musi usuwać ósemki? Kiedy jest to konieczne?
Nie, nie każdy musi usuwać zęby mądrości. Jeśli ósemki wyrzną się prawidłowo, nie powodują bólu, nie uciskają sąsiednich zębów i są łatwe do utrzymania w higienie, mogą pozostać w jamie ustnej. Jednakże, w wielu przypadkach ich usunięcie jest konieczne. Wskazaniami do ekstrakcji są między innymi: nawracające stany zapalne wokół zęba, silny ból, niszczenie sąsiedniego zęba (siódemki) przez ucisk lub próchnicę, a także nieprawidłowe ustawienie, które uniemożliwia prawidłowe czyszczenie i prowadzi do powstawania ubytków. Zawsze zalecam indywidualną ocenę sytuacji przez stomatologa, często z wykorzystaniem zdjęcia rentgenowskiego, aby podjąć najlepszą decyzję.

Gdy matematyka się nie zgadza: Anomalie w liczbie zębów
Choć standardowo mówimy o 20 zębach mlecznych i 28-32 stałych, natura czasem płata figle, prowadząc do anomalii w liczbie zębów. Jedną z nich jest hiperdoncja, czyli występowanie zębów nadliczbowych. Oznacza to, że w jamie ustnej pojawia się więcej zębów niż standardowe 20 u dzieci lub 32 u dorosłych. Jest to, co ciekawe, druga najczęstsza wada zębowa. Najczęściej spotykanym zębem nadliczbowym jest tak zwany mezjodens, który wyrasta między górnymi jedynkami. Zęby nadliczbowe mogą powodować problemy z estetyką, ortodoncją oraz prawidłowym wyrzynaniem się innych zębów, dlatego ich wczesne wykrycie jest kluczowe.
Hipodoncja: Gdy brakuje zębów od urodzenia
Na drugim końcu spektrum anomalii znajduje się hipodoncja. Jest to wrodzony brak zawiązków jednego lub więcej zębów, co skutkuje ich zmniejszoną liczbą w jamie ustnej. Hipodoncja może dotyczyć zarówno zębów mlecznych, jak i stałych, choć częściej obserwujemy ją w uzębieniu stałym. Najczęściej brakuje zawiązków drugich siekaczy bocznych, drugich przedtrzonowców czy zębów mądrości. W zależności od stopnia nasilenia, hipodoncja może prowadzić do problemów z żuciem, mową, estetyką uśmiechu oraz stabilnością zgryzu. W takich przypadkach często konieczne jest leczenie ortodontyczne połączone z protetycznym uzupełnieniem brakujących zębów.
Przeczytaj również: Stan zapalny zęba: Objawy, leczenie, koszty. Czy da się go uniknąć?




