
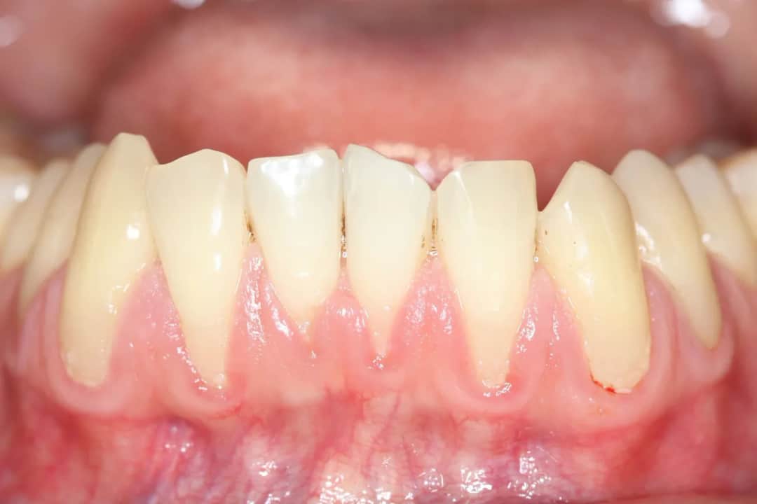
Ropa na dziąśle to sygnał alarmowy. Dowiedz się, dlaczego samodzielne wyciskanie jest groźne i jakie domowe sposoby ulżą przed wizytą u dentysty. Sprawdź, kiedy potrzebujesz pilnej pomocy.
Nazywam się Gabriel Duda i od ponad 10 lat zajmuję się tematyką zdrowia, ze szczególnym uwzględnieniem profilaktyki oraz zdrowego stylu życia. Posiadam wykształcenie w dziedzinie nauk o zdrowiu, co pozwala mi na rzetelne i dokładne przedstawianie informacji. Moje doświadczenie obejmuje zarówno pracę w instytucjach zdrowotnych, jak i prowadzenie warsztatów edukacyjnych, co pozwala mi na dzielenie się wiedzą w przystępny sposób. Specjalizuję się w zagadnieniach dotyczących zdrowia publicznego oraz ogólnej kondycji zdrowotnej, co pozwala mi na analizowanie i interpretowanie najnowszych badań oraz trendów w tej dziedzinie. Moim celem jest nie tylko dostarczanie informacji, ale także inspirowanie czytelników do podejmowania świadomych decyzji dotyczących ich zdrowia. Pisząc dla dentystaduda.pl, pragnę dzielić się unikalnym spojrzeniem na zdrowie, które łączy najnowsze osiągnięcia naukowe z praktycznymi poradami. Zależy mi na budowaniu zaufania wśród czytelników poprzez dostarczanie rzetelnych i sprawdzonych informacji, które mogą przyczynić się do poprawy jakości ich życia.

Ropa na dziąśle to sygnał alarmowy. Dowiedz się, dlaczego samodzielne wyciskanie jest groźne i jakie domowe sposoby ulżą przed wizytą u dentysty. Sprawdź, kiedy potrzebujesz pilnej pomocy.

Poznaj objawy HPV w jamie ustnej, od łagodnych zmian po alarmujące sygnały raka. Dowiedz się, kiedy szukać pomocy i jak skutecznie się chronić.

Czy brać tabletkę na ból zęba przed dentystą? Poznaj wpływ leków na diagnozę i znieczulenie. Odkryj bezpieczne alternatywy i co zgłosić lekarzowi.

Ból zębów po aparacie? Odkryj sprawdzone sposoby na natychmiastową ulgę! Poznaj domowe metody, leki i wosk ortodontyczny. Dowiedz się, kiedy iść do ortodonty.

Jak wzmocnić dziąsła domowymi sposobami? Poznaj skuteczne płukanki ziołowe, masaż i dietę. Odkryj sprawdzone metody na zdrowe dziąsła!

Rozpoznaj zapalenie jamy ustnej po objawach: afty, pęcherzyki, naloty. Poznaj przyczyny, domowe sposoby i kiedy iść do lekarza. Sprawdź, jak sobie pomóc!

Poznaj kluczowe objawy ropnia zęba i zrozum, dlaczego ból narasta. Dowiedz się, co robić, by uniknąć powikłań i jak skutecznie leczyć infekcję. Sprawdź!

Ile kosztuje zdjęcie szwów z dziąsła? Sprawdź, kiedy jest bezpłatne, czy boli i jak dbać o ranę. Pełny przewodnik po zabiegu i rekonwalescencji.

Rozpoznaj objawy ząbkowania u dziecka i dowiedz się, jak skutecznie ulżyć maluchowi. Poznaj typowe sygnały, metody łagodzenia bólu i kiedy iść do lekarza.

Odkryj nowoczesne metody znieczulenia u dentysty: miejscowe, sedacja, narkoza. Pokonaj strach i ból. Sprawdź, jak przygotować się do wizyty!