Wzmocnij swoje dziąsła domowymi sposobami kompleksowy przewodnik po naturalnych metodach.
- Płukanki ziołowe (szałwia, rumianek, kora dębu, tymianek) skutecznie redukują stany zapalne i krwawienie.
- Płukanki solne i z wodą utlenioną działają odkażająco i antybakteryjnie.
- Ssanie oleju (oil pulling) pomaga w redukcji płytki nazębnej i poprawie zdrowia dziąseł.
- Delikatny masaż dziąseł poprawia krążenie i wspiera regenerację.
- Dieta bogata w witaminę C, wapń i witaminę D jest kluczowa dla mocnych dziąseł.
- W przypadku utrzymujących się objawów, takich jak silne krwawienie czy ból, konieczna jest wizyta u stomatologa.
Dlaczego twoje dziąsła wołają o pomoc? Zrozumienie przyczyn problemu
Zapewne każdy z nas doświadczył kiedyś nieprzyjemnych dolegliwości ze strony dziąseł. Zrozumienie, co leży u podstaw tych problemów, jest pierwszym krokiem do skutecznego działania. Najczęściej winowajcą jest niewłaściwa higiena jamy ustnej, która prowadzi do gromadzenia się płytki bakteryjnej, a następnie do twardnienia jej w kamień nazębny. To właśnie te osady są główną przyczyną stanów zapalnych.
Ale to nie wszystko. Inne czynniki, które osłabiają nasze dziąsła, to:
- Zbyt agresywne szczotkowanie zębów.
- Palenie papierosów.
- Zmiany hormonalne (szczególnie w ciąży).
- Niedobory witamin, zwłaszcza witaminy C i tych z grupy B.
- Przewlekły stres.
- Niektóre choroby ogólnoustrojowe, takie jak cukrzyca.
Wszystkie te elementy mogą znacząco wpływać na zdrowie i kondycję naszych dziąseł, prowadząc do ich osłabienia i podatności na infekcje.
Codzienne nawyki, które po cichu osłabiają dziąsła
Niestety, często nie zdajemy sobie sprawy, że to właśnie nasze codzienne przyzwyczajenia najbardziej szkodzą dziąsłom. Niewłaściwa higiena jamy ustnej, czyli niedokładne lub zbyt rzadkie szczotkowanie, to prosta droga do nagromadzenia się płytki bakteryjnej. Co ciekawe, równie szkodliwe może być zbyt agresywne szczotkowanie, zwłaszcza twardą szczoteczką, które mechanicznie uszkadza delikatną tkankę dziąseł, prowadząc do ich recesji. Nie mogę nie wspomnieć o paleniu papierosów to jeden z najgorszych nawyków dla zdrowia jamy ustnej. Dym tytoniowy upośledza ukrwienie dziąseł, zmniejsza ich zdolności regeneracyjne i sprawia, że są one znacznie bardziej podatne na stany zapalne i paradontozę.
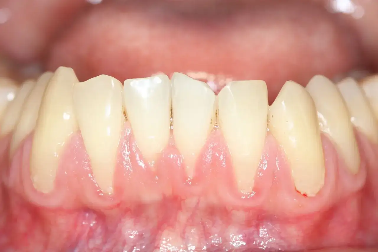
Ukryte sygnały alarmowe kiedy zaczerwienienie to coś więcej niż podrażnienie?
Dziąsła często wysyłają nam sygnały ostrzegawcze, których nie powinniśmy ignorować. Zapalenie, krwawienie czy obrzęk dziąseł to typowe objawy, które świadczą o tym, że coś jest nie tak. Najczęściej są one wynikiem gromadzenia się płytki bakteryjnej i kamienia nazębnego, które drażnią tkanki i prowadzą do reakcji zapalnej. Jeśli zauważycie, że dziąsła są zaczerwienione, tkliwe, bolą przy dotyku lub krwawią podczas szczotkowania, to znak, że potrzebują Waszej uwagi. Nie lekceważcie tych sygnałów to może być początek poważniejszych problemów.
Rola diety i stresu w kondycji jamy ustnej
Nie tylko to, co robimy z zębami, ale także to, co jemy i jak żyjemy, ma ogromne znaczenie dla zdrowia dziąseł. Niedobory witamin, zwłaszcza witaminy C i tych z grupy B, mogą osłabiać dziąsła i sprawiać, że stają się bardziej podatne na krwawienia i stany zapalne. Witamina C jest kluczowa dla produkcji kolagenu, który buduje tkanki dziąseł. Z kolei stres, choć często niedoceniany, również negatywnie wpływa na cały organizm, w tym na układ odpornościowy, co może sprzyjać rozwojowi infekcji w jamie ustnej. Dbanie o zbilansowaną dietę i skuteczne metody radzenia sobie ze stresem to więc nie tylko kwestia ogólnego zdrowia, ale i mocnych, zdrowych dziąseł.

Ziołowa apteczka dla zdrowych dziąseł: naturalne płukanki, które naprawdę działają
Kiedy mówimy o domowych sposobach na wzmocnienie dziąseł, płukanki ziołowe od razu przychodzą mi na myśl. To prawdziwa apteczka natury, która oferuje skuteczne i sprawdzone metody łagodzenia stanów zapalnych, zmniejszania krwawienia i ogólnej poprawy kondycji dziąseł. Od wieków ludzie korzystali z mocy ziół, a dziś, dzięki nauce, wiemy, dlaczego są one tak efektywne.Szałwia i rumianek duet na stany zapalne i podrażnienia
Te dwa zioła to prawdziwi bohaterowie w walce o zdrowe dziąsła. Szałwia jest znana ze swoich silnych właściwości przeciwzapalnych i bakteriobójczych. Jej regularne stosowanie w formie płukanki pomaga zwalczać bakterie odpowiedzialne za stany zapalne i redukować obrzęki. Z kolei rumianek to doskonały sojusznik w łagodzeniu podrażnień. Ma właściwości kojące i regenerujące, co sprawia, że jest idealny do stosowania przy delikatnych, wrażliwych dziąsłach. Razem tworzą duet, który skutecznie koi, leczy i chroni.
Kora dębu jak wykorzystać jej ściągającą moc w walce z krwawieniem?
Jeśli borykacie się z krwawiącymi dziąsłami, kora dębu może okazać się Waszym najlepszym przyjacielem. Jej główną zaletą jest silne działanie ściągające, które wynika z wysokiej zawartości garbników. Garbniki powodują obkurczanie się naczyń krwionośnych i uszczelnianie błon śluzowych, co w efekcie skutecznie zmniejsza krwawienie dziąseł. Płukanki z kory dębu są więc niezastąpione, gdy potrzebujemy szybkiego i naturalnego sposobu na zatrzymanie krwawienia i wzmocnienie tkanki dziąseł.
Tymianek twoim sprzymierzeńcem w walce z bakteriami
Niepozorny tymianek to kolejny skarb natury, który powinien znaleźć się w Waszej ziołowej apteczce. Dzięki zawartości silnych olejków eterycznych, tymianek wykazuje znaczące działanie antybakteryjne. Regularne płukanki z tymianku pomagają hamować rozwój płytki nazębnej, która jest główną przyczyną zapalenia dziąseł. Jest to więc doskonały sposób na utrzymanie czystości w jamie ustnej i zapobieganie namnażaniu się szkodliwych bakterii, które mogą prowadzić do poważniejszych problemów.
Jak prawidłowo przygotować i stosować napary ziołowe?
Aby ziołowe płukanki były skuteczne, ważne jest ich prawidłowe przygotowanie i regularne stosowanie. Oto proste kroki:
- Przygotowanie naparu: Zazwyczaj wystarczy zalać 1-2 łyżeczki suszonych ziół (szałwia, rumianek, tymianek) szklanką wrzącej wody. W przypadku kory dębu, często zaleca się gotowanie przez kilka minut, aby wydobyć więcej garbników.
- Parzenie: Pozostaw napar pod przykryciem na około 10-15 minut, aby zioła uwolniły swoje cenne składniki.
- Odcedzanie: Po zaparzeniu odcedź zioła przez sitko, aby uzyskać czysty płyn. Poczekaj, aż napar ostygnie do temperatury pokojowej.
- Stosowanie: Płucz jamę ustną naparem przez około 1-2 minuty, 2-3 razy dziennie, najlepiej po umyciu zębów. Nie połykaj płukanki.
Więcej niż zioła sprawdzone domowe receptury na wzmocnienie dziąseł
Oprócz ziół, istnieje wiele innych sprawdzonych domowych metod, które mogą znacząco poprawić kondycję Waszych dziąseł. To proste, ale efektywne receptury, które możecie włączyć do swojej codziennej rutyny, aby cieszyć się zdrowszym i mocniejszym uśmiechem. Warto je poznać i wypróbować, zwłaszcza gdy szukamy alternatywnych lub uzupełniających sposobów pielęgnacji.
Płukanka solna i z wodą utlenioną: kiedy i jak bezpiecznie je stosować?
Płukanka solna to klasyk, który działa cuda. Aby ją przygotować, wystarczy rozpuścić jedną łyżeczkę soli kuchennej w szklance ciepłej wody. Płuczcie usta tym roztworem przez około 30 sekund, 2-3 razy dziennie. Sól ma właściwości ściągające i odkażające, co pomaga zmniejszyć obrzęk i zwalczać bakterie, a także ogranicza krwawienie dziąseł. Jest to szczególnie pomocne w początkowych stadiach zapalenia.
Inną skuteczną opcją jest płukanka z wody utlenionej. Należy pamiętać, aby używać jej z umiarem i w odpowiednim stężeniu. Wymieszajcie jedną łyżkę 3% roztworu wody utlenionej z pół szklanki wody. Płuczcie usta przez około 30 sekund, nie częściej niż raz dziennie i nie dłużej niż przez kilka dni. Woda utleniona działa silnie antybakteryjnie i odkażająco, pomaga w walce z infekcjami i może ograniczać krwawienie. Pamiętajcie, aby jej nie połykać i unikać zbyt częstego stosowania, aby nie podrażnić błony śluzowej.Ssanie oleju kokosowego (oil pulling) ajurwedyjski sekret zdrowia jamy ustnej
Metoda ssania oleju, znana z ajurwedy jako oil pulling, zyskuje coraz większą popularność i słusznie. Polega ona na płukaniu ust olejem, najczęściej olejem kokosowym, przez około 10-15 minut. Olej kokosowy jest szczególnie polecany ze względu na swoje właściwości przeciwzapalne i antybakteryjne, które zawdzięcza kwasowi laurynowemu. Regularne ssanie oleju może znacząco przyczynić się do redukcji płytki nazębnej, odświeżenia oddechu i ogólnej poprawy zdrowia dziąseł. Pamiętajcie, aby po zakończeniu ssania wypluć olej do kosza (nie do zlewu, by nie zatkać rur) i dokładnie wypłukać usta wodą.
Siła dotyku: jak prawidłowy masaż może zrewolucjonizować zdrowie twoich dziąseł?
Masaż dziąseł to często niedoceniana, a niezwykle skuteczna metoda wspierająca ich zdrowie. Regularne, delikatne masowanie dziąseł ma zbawienny wpływ na ich kondycję poprawia krążenie krwi w tkankach, co z kolei wspiera ich regenerację i wzmacnia. To prosta technika, którą każdy może włączyć do swojej codziennej rutyny pielęgnacyjnej, a efekty mogą być naprawdę zaskakujące.
Technika masażu krok po kroku proste ruchy o wielkiej mocy
Prawidłowy masaż dziąseł nie jest skomplikowany, ale wymaga delikatności i precyzji. Oto jak go wykonać:
- Czyste ręce: Zawsze zaczynaj od dokładnego umycia rąk.
- Narzędzie: Możesz użyć czystych opuszków palców (najczęściej kciuka i palca wskazującego) lub specjalnej, miękkiej szczoteczki do masażu dziąseł.
- Delikatne ruchy: Przyłóż opuszek palca lub szczoteczkę do dziąsła i wykonuj delikatne, okrężne ruchy, przesuwając się od dziąsła w kierunku korony zęba.
- Cała jama ustna: Masuj każde dziąsło, zarówno od strony policzkowej, jak i językowej/podniebiennej.
- Unikaj nacisku: Pamiętaj, aby nie wywierać zbyt dużego nacisku. Masaż ma być przyjemny i stymulujący, a nie bolesny.
Jak często masować dziąsła, by zobaczyć efekty?
Aby masaż dziąseł przyniósł oczekiwane rezultaty, kluczowa jest regularność. Zalecam wykonywanie go 1-2 razy dziennie, najlepiej po umyciu zębów, przez około kilka minut. Systematyczność jest tutaj ważniejsza niż intensywność. Już po kilku tygodniach regularnego masażu powinniście zauważyć poprawę dziąsła staną się mocniejsze, mniej tkliwe i lepiej ukrwione.
Czy masaż jest dla każdego? Przeciwwskazania i środki ostrożności
Mimo że masaż dziąseł jest zazwyczaj bezpieczny i korzystny, istnieją pewne sytuacje, w których należy zachować ostrożność lub całkowicie z niego zrezygnować. Ostre stany zapalne dziąseł, otwarte rany, afty czy świeże rany po zabiegach stomatologicznych to bezwzględne przeciwwskazania. W takich przypadkach masaż mógłby pogorszyć sytuację lub opóźnić gojenie. Zawsze należy postępować delikatnie i unikać uszkodzeń mechanicznych. Jeśli macie jakiekolwiek wątpliwości co do stanu swoich dziąseł, zawsze najlepiej skonsultować się ze stomatologiem przed rozpoczęciem regularnego masażu.

Jedz dla zdrowia dziąseł: kluczowe składniki odżywcze w twojej diecie
To, co ląduje na naszym talerzu, ma ogromne znaczenie nie tylko dla ogólnego zdrowia, ale i dla kondycji naszych dziąseł. Odpowiednio zbilansowana dieta, bogata w kluczowe składniki odżywcze, to fundament mocnych i zdrowych tkanek jamy ustnej. Wierzę, że jedzenie może być naszym sprzymierzeńcem w walce o piękny uśmiech, dlatego warto przyjrzeć się bliżej temu, co powinniśmy włączyć do codziennego menu.
Witamina C fundament mocnych naczyń krwionośnych i walka z krwawieniem
Jeśli dziąsła krwawią, jedną z pierwszych rzeczy, na którą zwracam uwagę, jest poziom witaminy C w diecie. Jest ona absolutnie niezbędna do produkcji kolagenu białka, które buduje tkanki dziąseł i wzmacnia naczynia krwionośne. Jej niedobór może prowadzić do osłabienia dziąseł i zwiększonej skłonności do krwawień. Na szczęście, witamina C jest łatwo dostępna w wielu pysznych produktach:
- Papryka (zwłaszcza czerwona)
- Natka pietruszki
- Czarna porzeczka
- Cytrusy (pomarańcze, grejpfruty)
- Brokuły
- Kiwi
Włączając te produkty do diety, zapewniacie dziąsłom solidne wsparcie.
Wapń i witamina D duet niezbędny dla kości i stabilności zębów
Mocne dziąsła to także mocne kości, które utrzymują zęby w stabilnej pozycji. Tutaj kluczową rolę odgrywają wapń i witamina D. Wapń jest podstawowym budulcem kości, a witamina D ułatwia jego wchłanianie i prawidłowe wykorzystanie przez organizm. Bez odpowiedniej ilości tych składników, kości szczęki mogą osłabnąć, co negatywnie wpłynie na dziąsła i stabilność zębów. Gdzie szukać tego duetu?
- Nabiał (mleko, jogurty, sery)
- Tłuste ryby morskie (łosoś, makrela, sardynki)
- Jarmuż
- Szpinak
- Produkty wzbogacane w witaminę D (np. niektóre napoje roślinne)
Pamiętajcie też o ekspozycji na słońce, która jest naturalnym źródłem witaminy D.
Chrupiące warzywa i owoce naturalny masaż i oczyszczanie
Natura sama podpowiada nam, jak dbać o dziąsła! Twarde i chrupiące warzywa oraz owoce, takie jak marchew, jabłka, seler naciowy czy kalarepa, to nie tylko skarbnica witamin, ale także naturalny masażer dla dziąseł. Podczas gryzienia tych produktów, dziąsła są delikatnie masowane, co poprawia ich ukrwienie. Dodatkowo, twarde włókna pomagają w naturalny sposób oczyszczać zęby z resztek jedzenia i płytki nazębnej. Nie zapominajcie również o odpowiednim nawodnieniu picie wody stymuluje produkcję śliny, która ma działanie ochronne i antybakteryjne, pomagając neutralizować kwasy i remineralizować szkliwo.
Produkty, których twoje dziąsła nie lubią czego unikać?
Tak jak są produkty wspierające zdrowie dziąseł, tak są i te, których należy unikać. Jeśli chcecie mieć mocne i zdrowe dziąsła, ograniczcie:
- Cukry proste: Są pożywką dla bakterii w jamie ustnej, które produkują kwasy niszczące szkliwo i prowadzące do powstawania płytki nazębnej i stanów zapalnych dziąseł.
- Kwaśne napoje (słodzone napoje gazowane, soki owocowe w nadmiarze): Ich wysoka kwasowość może erodować szkliwo i podrażniać dziąsła.
Ograniczenie tych produktów to klucz do zmniejszenia ryzyka próchnicy i chorób dziąseł.
Profilaktyka to podstawa: jak zapobiegać problemom z dziąsłami na co dzień?
Pamiętajcie, że najlepszym sposobem na zdrowe dziąsła jest zapobieganie problemom, zanim w ogóle się pojawią. Codzienna, świadoma profilaktyka to absolutna podstawa. Nawet najlepsze domowe sposoby leczenia nie zastąpią regularnej i prawidłowej higieny jamy ustnej. Chcę Wam pokazać, jak proste zmiany w codziennych nawykach mogą przynieść długoterminowe korzyści.
Wybór szczoteczki i pasty na co zwrócić uwagę?
Wydaje się to oczywiste, ale właściwy wybór narzędzi do higieny jamy ustnej jest kluczowy. Zawsze rekomenduję używanie miękkiej szczoteczki do zębów. Twarde włosie, choć może wydawać się bardziej skuteczne, w rzeczywistości może uszkadzać delikatne dziąsła i prowadzić do ich recesji. Jeśli chodzi o pastę, wybierzcie taką, która zawiera fluor wzmacnia on szkliwo i chroni przed próchnicą. Dodatkowo, pasty z ekstraktami ziołowymi (np. z szałwii, rumianku) mogą wspierać zdrowie dziąseł, działając łagodząco i przeciwzapalnie. Osobiście uważam, że warto eksperymentować, by znaleźć pastę, która najlepiej odpowiada Waszym potrzebom.
Znaczenie nitkowania i czyszczenia przestrzeni międzyzębowych
Szczotkowanie zębów to tylko połowa sukcesu. Niestety, sama szczoteczka nie jest w stanie usunąć całej płytki bakteryjnej i resztek jedzenia z trudno dostępnych miejsc czyli z przestrzeni międzyzębowych. Dlatego tak kluczowe jest codzienne nitkowanie zębów lub używanie szczoteczek międzyzębowych. To właśnie tam najczęściej rozwijają się stany zapalne dziąseł, które nieleczone mogą prowadzić do poważniejszych problemów. Poświęćcie na to dodatkowe dwie minuty dziennie, a Wasze dziąsła na pewno Wam podziękują.
Najczęstsze błędy podczas mycia zębów i jak ich unikać
Nawet jeśli myjemy zęby regularnie, często popełniamy błędy, które mogą szkodzić dziąsłom. Oto najczęstsze z nich i wskazówki, jak ich unikać:
- Zbyt agresywne szczotkowanie: Zbyt mocne szorowanie zębów twardą szczoteczką to prosta droga do uszkodzenia dziąseł i recesji. Myjcie zęby delikatnie, ruchami wymiatającymi, od dziąsła do korony zęba.
- Zbyt krótki czas mycia: Wiele osób myje zęby zbyt krótko. Zalecane minimum to 2 minuty, dwa razy dziennie. Użyjcie stopera lub elektrycznej szczoteczki z timerem, aby kontrolować czas.
- Pomijanie niektórych obszarów: Często zapominamy o wewnętrznych stronach zębów lub o tylnych trzonowcach. Upewnijcie się, że szczotkujecie każdą powierzchnię zęba.
- Brak wymiany szczoteczki: Szczoteczkę należy wymieniać co 3 miesiące lub częściej, jeśli włosie jest zużyte. Zużyta szczoteczka jest mniej efektywna i może uszkadzać dziąsła.
Kiedy domowe sposoby to za mało? Czerwone flagi, których nie wolno ignorować
Jako ekspert zawsze podkreślam, że domowe metody są niezwykle cennym elementem profilaktyki i wsparcia w łagodnych stanach zapalnych dziąseł. Jednakże, musimy być świadomi, że mają one swoje granice. Istnieją objawy, które są wyraźnymi "czerwonymi flagami" i których absolutnie nie wolno ignorować. W takich sytuacjach konieczna jest profesjonalna interwencja stomatologiczna, ponieważ zwlekanie może prowadzić do poważnych i nieodwracalnych konsekwencji dla zdrowia jamy ustnej.
Uporczywe krwawienie i ból kiedy należy umówić wizytę u dentysty?
Jeśli zauważycie, że domowe płukanki czy masaże nie przynoszą ulgi, a objawy utrzymują się lub nasilają, to jasny sygnał, że potrzebna jest pomoc specjalisty. Koniecznie umówcie wizytę u stomatologa lub periodontologa, jeśli doświadczacie:
- Silnego, uporczywego krwawienia dziąseł, które nie ustępuje po kilku dniach domowej pielęgnacji.
- Uporczywego bólu dziąseł, który utrudnia jedzenie czy mówienie.
- Ruchomości zębów to bardzo poważny objaw, który może świadczyć o zaawansowanej chorobie przyzębia.
- Nieprzyjemnego zapachu z ust (halitoza), który utrzymuje się mimo regularnej higieny.
- Obrzęku, ropnia lub silnego zaczerwienienia dziąseł, które mogą wskazywać na infekcję.
Pamiętajcie, że wczesna diagnoza i leczenie są kluczowe dla zachowania zdrowia zębów i dziąseł.
Czym jest paradontoza i dlaczego nie można jej leczyć na własną rękę?
Nieleczone zapalenie dziąseł może prowadzić do znacznie poważniejszej choroby paradontozy (zapalenia przyzębia). Jest to przewlekła choroba, która atakuje tkanki otaczające zęby, prowadząc do zaniku kości, a w konsekwencji do ruchomości, a nawet utraty zębów. Paradontoza wymaga profesjonalnej interwencji stomatologicznej, często w postaci głębokiego czyszczenia (scalingu poddziąsłowego), kiretażu, a w zaawansowanych przypadkach zabiegów chirurgicznych. Domowe sposoby, choć wspierające, nie są w stanie usunąć kamienia nazębnego spod dziąseł ani zregenerować utraconej kości. Próby leczenia paradontozy na własną rękę są nie tylko nieskuteczne, ale mogą opóźnić właściwą terapię i pogorszyć rokowania.
Przeczytaj również: Zdjęcie szwów z dziąsła: cena, ból, terminy. Kiedy jest za darmo?
Jak domowa pielęgnacja wspiera profesjonalne leczenie stomatologiczne?
Chcę, abyście zrozumieli, że domowa pielęgnacja i profesjonalne leczenie stomatologiczne nie wykluczają się, lecz wzajemnie uzupełniają. Wasze codzienne wysiłki w postaci płukanek, masaży i dbałości o dietę są niezwykle ważnym uzupełnieniem i wsparciem dla pracy stomatologa. Pomagają utrzymać efekty leczenia, zapobiegają nawrotom i ogólnie poprawiają kondycję jamy ustnej. Nigdy jednak nie powinny być traktowane jako zamiennik regularnych wizyt kontrolnych, profesjonalnego czyszczenia zębów czy leczenia chorób przyzębia. Współpraca z dentystą i konsekwentna domowa pielęgnacja to najskuteczniejsza droga do długotrwałego zdrowia dziąseł.




