Ile zębów ma człowiek? Od mleczaków po ósemki pełny przewodnik
Odkryj, ile zębów ma człowiek w różnym wieku! Poznaj liczbę mleczaków, stałych zębów, rolę ósemek i anomalie. Sprawdź kompleksowy przewodnik.
Odkryj, ile zębów ma człowiek w różnym wieku! Poznaj liczbę mleczaków, stałych zębów, rolę ósemek i anomalie. Sprawdź kompleksowy przewodnik.
Boli Cię ząb? Sprawdź, co robi dentysta! Poznaj diagnostykę, leczenie próchnicy, kanałowe i ekstrakcję. Dowiedz się, jak bezboleśnie rozwiązać problem.
Odkryj, dlaczego szczoteczka soniczna to złoty standard higieny. Poznaj jej mechanizm, przewagę nad innymi i korzyści dla zdrowia jamy ustnej. Sprawdź!
Masz opuchnięte dziąsła? Odkryj sprawdzone domowe sposoby, skuteczne leki bez recepty i dowiedz się, kiedy pilnie udać się do dentysty. Znajdź ulgę!
Poznaj wygląd stałego aparatu ortodontycznego! Opisujemy zamki, łuki, gumki i typy: metalowe, estetyczne, lingwalne. Rozwiej obawy i przygotuj się na leczenie.
Czy znieczulenie u dentysty może opóźnić okres? Obalamy mit! Dowiedz się, dlaczego to stres, a nie środek znieczulający, wpływa na Twój cykl. Sprawdź, jak dbać o spokój.
Poznaj ceny wybielania zębów w Polsce: lampą, nakładkami, laserem. Sprawdź, co wpływa na koszt, jak dbać o efekt i kto nie może wybielić zębów. Wybierz mądrze!
Bolące dziąsła? Odkryj najczęstsze przyczyny, objawy i skuteczne metody leczenia. Dowiedz się, kiedy iść do dentysty i jak dbać o zdrowie jamy ustnej.
Zastanawiasz się, jaki aparat na zęby wybrać? Porównaj aparaty stałe, ruchome i nakładki Invisalign. Sprawdź koszty, czas leczenia i komfort. Podejmij świadomą decyzję!
Boisz się dentysty? Odkryj, jak nowoczesne metody i wsparcie psychologiczne pomogą Ci pokonać lęk przed wizytą. Sprawdź bezbolesne leczenie!
Bolący ząb? Odkryj domowe sposoby na szybką ulgę i skuteczne leki bez recepty. Sprawdź, kiedy ból to sygnał alarmowy i musisz pilnie iść do dentysty!
Sprawdź, jak wygląda zdrowa jama ustna! Naucz się samodzielnie oceniać dziąsła, zęby i język. Odkryj sygnały alarmowe i dbaj o idealny uśmiech.
Szukasz szczoteczki sonicznej do 150 zł? Sprawdź nasz ranking najlepszych modeli, porównaj funkcje i uniknij ukrytych kosztów. Wybierz idealną!
Retencja po aparacie: szczegółowy cennik nakładek ruchomych i stałych (od 400 zł). Dowiedz się, co wpływa na koszt i wybierz najlepsze rozwiązanie.
Masz ropień na dziąśle? Dowiedz się, jak go zidentyfikować, jakie są przyczyny i skuteczne metody leczenia. Uniknij powikłań dzięki radom eksperta.
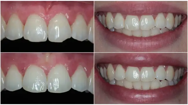
Ile licówek to ideał? Dowiedz się, jak linia uśmiechu, budżet i oczekiwania wpływają na optymalną liczbę. Poznaj scenariusze i wybór materiału.
Opanuj odruch wymiotny u dentysty! Poznaj skuteczne metody: od domowych trików po profesjonalne wsparcie. Zyskaj komfort i spokój podczas wizyty.
Ile zarabia asystent dentysty w Polsce? Poznaj aktualne widełki płacowe (4270-5690 zł brutto), czynniki wpływające na pensję i sposoby jej zwiększenia. Sprawdź!
Zakładanie aparatu na zęby nie boli! Dowiedz się, skąd bierze się dyskomfort po zabiegu i poznaj skuteczne metody łagodzenia bólu. Przygotuj się na piękny uśmiech.
Jak bezpiecznie usunąć ząb? Odkryj, kiedy możesz pomóc dziecku, a kiedy wizyta u dentysty jest niezbędna. Poznaj proces ekstrakcji i uniknij powikłań.
Cierpisz na nadżerki w jamie ustnej? Odkryj przyczyny i skuteczne metody leczenia: od ziół po profesjonalne zabiegi. Zapobiegaj nawrotom!
Afta na dziąśle to bolesny problem. Odkryj najczęstsze przyczyny, skuteczne sposoby na ulgę i dowiedz się, kiedy szukać pomocy lekarza. Zadbaj o uśmiech!
Na jakie zęby aparat? Sprawdź, czy Twoje zęby kwalifikują się do leczenia. Omówimy zęby mleczne, ósemki, implanty i po leczeniu kanałowym. Czytaj dalej!
Szczoteczka soniczna czy ultradźwiękowa? Poznaj opinie, porównaj ich działanie, wady i zalety. Wybierz idealną technologię dla Twojego uśmiechu!
Po usunięciu zęba wiesz, czym płukać dziąsła? Poznaj bezpieczne metody: sól, zioła, apteczne płyny. Uniknij suchego zębodołu i goj się szybko! Sprawdź nasz poradnik.
Czy można jeść w nakładkach na zęby? Dowiedz się, które nakładki pozwalają na swobodne jedzenie, a których unikać. Poznaj profesjonalne rozwiązania i alternatywy.
Palenie po dentyście? Dowiedz się, ile czekać po wyrwaniu zęba, implancie czy leczeniu kanałowym. Uniknij suchego zębodołu i powikłań. Sprawdź!