
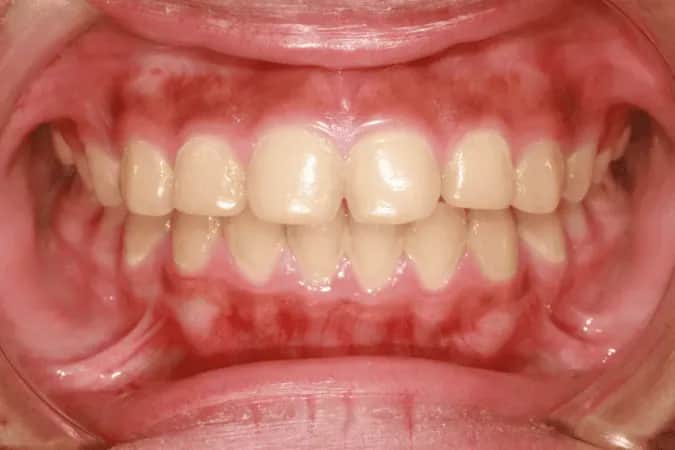
Grzybica jamy ustnej boli i piecze. Poznaj wszystkie objawy, przyczyny i skuteczne metody leczenia. Sprawdź, kiedy iść do lekarza i jak zapobiegać nawrotom.
Nazywam się Gabriel Duda i od ponad 10 lat zajmuję się tematyką zdrowia, ze szczególnym uwzględnieniem profilaktyki oraz zdrowego stylu życia. Posiadam wykształcenie w dziedzinie nauk o zdrowiu, co pozwala mi na rzetelne i dokładne przedstawianie informacji. Moje doświadczenie obejmuje zarówno pracę w instytucjach zdrowotnych, jak i prowadzenie warsztatów edukacyjnych, co pozwala mi na dzielenie się wiedzą w przystępny sposób. Specjalizuję się w zagadnieniach dotyczących zdrowia publicznego oraz ogólnej kondycji zdrowotnej, co pozwala mi na analizowanie i interpretowanie najnowszych badań oraz trendów w tej dziedzinie. Moim celem jest nie tylko dostarczanie informacji, ale także inspirowanie czytelników do podejmowania świadomych decyzji dotyczących ich zdrowia. Pisząc dla dentystaduda.pl, pragnę dzielić się unikalnym spojrzeniem na zdrowie, które łączy najnowsze osiągnięcia naukowe z praktycznymi poradami. Zależy mi na budowaniu zaufania wśród czytelników poprzez dostarczanie rzetelnych i sprawdzonych informacji, które mogą przyczynić się do poprawy jakości ich życia.

Grzybica jamy ustnej boli i piecze. Poznaj wszystkie objawy, przyczyny i skuteczne metody leczenia. Sprawdź, kiedy iść do lekarza i jak zapobiegać nawrotom.

Czy zapalenie dziąseł jest zakaźne? Dowiedz się, czy możesz zarazić się od bliskich i jak skutecznie chronić zdrowie jamy ustnej. Sprawdź nasz poradnik!

Zastanawiasz się, jak długo nosi się aparat na zęby? Poznaj średni czas leczenia (1,5-2 lata), czynniki wpływające na jego długość i rolę retencji. Sprawdź!

Odrętwienie po znieczuleniu u dentysty? Dowiedz się, ile trwa, od czego zależy i jak bezpiecznie przyspieszyć powrót czucia. Praktyczne porady eksperta.

Bolące dziąsła? Odkryj skuteczne domowe sposoby, leki z apteki i dowiedz się, kiedy pilnie iść do dentysty. Zadbaj o zdrowy uśmiech!

Zastanawiasz się, gdzie założyć aparat na zęby? Poznaj kryteria wyboru ortodonty, koszty leczenia (prywatnie/NFZ) i uniknij błędów. Sprawdź nasz poradnik!

Krosty w jamie ustnej? Poznaj skuteczne metody leczenia aft, pleśniawek i opryszczki. Sprawdź domowe sposoby, leki OTC i kiedy iść do lekarza.

Odkryj, ile zębów ma człowiek w różnym wieku! Poznaj liczbę mleczaków, stałych zębów, rolę ósemek i anomalie. Sprawdź kompleksowy przewodnik.

Boli Cię ząb? Sprawdź, co robi dentysta! Poznaj diagnostykę, leczenie próchnicy, kanałowe i ekstrakcję. Dowiedz się, jak bezboleśnie rozwiązać problem.

Odkryj, dlaczego szczoteczka soniczna to złoty standard higieny. Poznaj jej mechanizm, przewagę nad innymi i korzyści dla zdrowia jamy ustnej. Sprawdź!