Zapalenie dziąseł to powszechny problem, który może prowadzić do poważnych konsekwencji dla zdrowia jamy ustnej i całego organizmu. Ten kompleksowy poradnik pomoże Ci zrozumieć przyczyny, rozpoznać objawy i zastosować skuteczne metody leczenia, zarówno domowe, jak i profesjonalne, aby cieszyć się zdrowym uśmiechem.
Skuteczne leczenie zapalenia dziąseł kompleksowy poradnik na zdrowe dziąsła
- Podstawą leczenia i profilaktyki jest prawidłowa i regularna higiena jamy ustnej (szczotkowanie, nitkowanie).
- Wspomagająco w domu można stosować płukanki ziołowe (szałwia, rumianek, kora dębu) oraz roztwory soli lub wody utlenionej.
- Niezbędne profesjonalne zabiegi to skaling (usunięcie kamienia nazębnego) i piaskowanie, a w zaawansowanych przypadkach kiretaż.
- Nieleczone zapalenie dziąseł może prowadzić do paradontozy, utraty zębów i zwiększa ryzyko chorób ogólnoustrojowych.
- W aptekach dostępne są specjalistyczne pasty, płyny i żele, które wspierają leczenie i łagodzą objawy.

Jak powstaje zapalenie dziąseł i co je wywołuje?
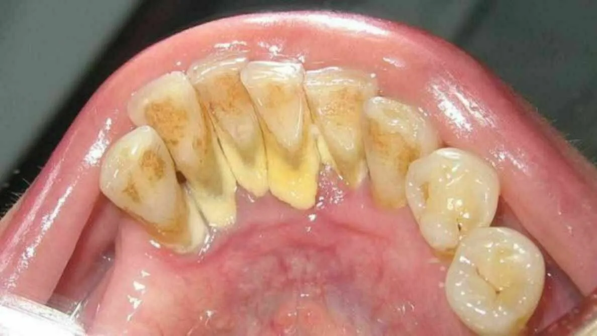
Zapalenie dziąseł, znane również jako gingivitis, to stan zapalny tkanek otaczających zęby. Jak często podkreślam w mojej praktyce, jego główną przyczyną jest nagromadzenie płytki nazębnej, która z czasem, jeśli nie jest regularnie usuwana, mineralizuje się, przekształcając w twardy kamień nazębny. To właśnie te złogi bakteryjne są głównym winowajcą problemów z dziąsłami.
Główny winowajca: Płytka bakteryjna i kamień nazębny
Płytka nazębna to lepka, bezbarwna warstwa bakterii, która nieustannie tworzy się na powierzchni zębów. Jeśli nie zostanie usunięta poprzez regularne i dokładne szczotkowanie oraz nitkowanie, bakterie te zaczynają wytwarzać toksyny, które podrażniają dziąsła, prowadząc do stanu zapalnego. Z czasem, minerały zawarte w ślinie osadzają się w płytce, twardniejąc i tworząc kamień nazębny. Kamień ten jest porowaty i stanowi idealne środowisko dla dalszego rozwoju bakterii, a jego szorstka powierzchnia utrudnia skuteczne czyszczenie zębów, zamykając błędne koło zapalenia.
Czy Twoje codzienne nawyki szkodzą dziąsłom? Czynniki ryzyka, o których musisz wiedzieć
Oprócz bezpośredniego wpływu płytki i kamienia nazębnego, istnieje wiele czynników ryzyka związanych z naszymi codziennymi nawykami i stylem życia, które mogą znacząco przyczynić się do rozwoju zapalenia dziąseł lub pogorszyć jego przebieg. Z mojego doświadczenia wynika, że często niedoceniamy ich znaczenia.
- Nieprawidłowa higiena jamy ustnej: To podstawa. Niewystarczające lub nieprawidłowe szczotkowanie i brak nitkowania to najprostsza droga do problemów.
- Palenie tytoniu: Palacze są znacznie bardziej narażeni na zapalenie dziąseł i paradontozę. Tytoń osłabia układ odpornościowy dziąseł i maskuje objawy krwawienia.
- Stres: Przewlekły stres może osłabiać ogólną odporność organizmu, co czyni dziąsła bardziej podatnymi na infekcje.
- Niedobory witamin (C i z grupy B): Witaminy te są kluczowe dla zdrowia tkanek, w tym dziąseł. Ich brak może prowadzić do osłabienia i większej podatności na stany zapalne.
- Źle dopasowane protezy lub aparaty ortodontyczne: Mogą podrażniać dziąsła, tworząc miejsca, w których łatwiej gromadzi się płytka i trudniej ją usunąć.
Nie tylko higiena: Jak choroby, leki i hormony wpływają na zdrowie dziąseł?
Warto pamiętać, że zdrowie dziąseł to nie tylko kwestia higieny. Istnieją również czynniki systemowe, takie jak stan zdrowia ogólnego, przyjmowane leki czy zmiany hormonalne, które mają ogromny wpływ na kondycję naszych dziąseł. Jako Gabriel Duda, zawsze podkreślam holistyczne podejście do zdrowia jamy ustnej.- Zmiany hormonalne (ciąża, menopauza): Wahania poziomu hormonów mogą zwiększać wrażliwość dziąseł na płytkę nazębną, prowadząc do tzw. ciążowego zapalenia dziąseł lub problemów w okresie menopauzy.
- Cukrzyca: Osoby z cukrzycą są bardziej podatne na infekcje, w tym zapalenia dziąseł, a przebieg choroby może być cięższy.
- Niektóre leki (np. przeciwpadaczkowe, immunosupresyjne): Mogą powodować przerost dziąseł lub suchość w ustach, co sprzyja rozwojowi zapalenia.
- Predyspozycje genetyczne: Niestety, niektórzy z nas mają większe genetyczne predyspozycje do chorób dziąseł, co nie zwalnia jednak z dbałości o higienę.
Zrozumienie tych czynników to pierwszy krok do skutecznego leczenia i profilaktyki. Teraz, gdy wiemy, co wywołuje zapalenie, przejdźmy do tego, jak je rozpoznać.
Jak rozpoznać zapalenie dziąseł? Objawy, których nie możesz ignorować
Rozpoznanie zapalenia dziąseł na wczesnym etapie jest kluczowe dla skutecznego leczenia i uniknięcia poważniejszych konsekwencji. Niestety, początkowe stadium często jest bezbolesne, co sprawia, że wiele osób ignoruje pierwsze sygnały. Zwracaj uwagę na te objawy, które powinny Cię zaalarmować.
Krwawienie podczas szczotkowania: Pierwszy sygnał, którego nie wolno ignorować
Krwawienie dziąseł, zwłaszcza podczas szczotkowania zębów, jest najbardziej charakterystycznym i często pierwszym objawem zapalenia dziąseł. Wbrew powszechnemu przekonaniu, krwawiące dziąsła nigdy nie są normą. To sygnał alarmowy, że coś jest nie tak i dziąsła są podrażnione lub zainfekowane. Nie ignoruj tego to znak, że powinieneś przyjrzeć się swojej higienie lub skonsultować się ze specjalistą.Czerwień, obrzęk i ból: Jak wyglądają chore dziąsła?
Zdrowe dziąsła mają bladoróżowy kolor, są jędrne i ściśle przylegają do zębów. W przypadku zapalenia dziąseł, ich wygląd ulega zmianie. Stają się zaczerwienione, opuchnięte i mogą być bolesne przy dotyku. Ten obrzęk i zaczerwienienie są wynikiem stanu zapalnego i zwiększonego przepływu krwi do tkanek. Jak wspomniałem, początkowo ból może być minimalny lub wcale go nie być, co niestety często prowadzi do odkładania wizyty u dentysty.
Nieświeży oddech, który nie znika? To może być objaw zapalenia
Nieświeży oddech, czyli halitoza, to kolejny sygnał, którego nie należy lekceważyć. Jeśli pomimo regularnego mycia zębów i dbania o higienę jamy ustnej, nieprzyjemny zapach z ust utrzymuje się, może to świadczyć o obecności bakterii odpowiedzialnych za zapalenie dziąseł. Bakterie te, rozkładając resztki pokarmowe, produkują lotne związki siarki, które są przyczyną nieświeżego oddechu.
Cofające się dziąsła i nadwrażliwość zębów: Zaawansowane symptomy problemu
W bardziej zaawansowanych stadiach zapalenia, zwłaszcza gdy przechodzi ono w paradontozę, możesz zauważyć recesję dziąseł, czyli ich odsuwanie się od szyjek zębowych. Odsłonięte szyjki zębowe stają się wrażliwe na zmiany temperatury i dotyk, co prowadzi do nieprzyjemnej nadwrażliwości zębów. To już poważny sygnał, że problem jest zaawansowany i wymaga natychmiastowej interwencji.

Domowe sposoby na zapalenie dziąseł: Co możesz zrobić sam?
Wielu moich pacjentów pyta, co mogą zrobić samodzielnie, aby ulżyć sobie w bólu i wspomóc leczenie zapalenia dziąseł. Odpowiedź jest prosta: wiele! Domowe metody, choć nie zastąpią wizyty u specjalisty, są niezwykle ważnym elementem terapii i profilaktyki. Skupiają się one przede wszystkim na poprawie higieny i wykorzystaniu naturalnych właściwości roślin.
Fundament leczenia: Jak prawidłowo myć i nitkować zęby, by pomóc dziąsłom?
Jak zawsze powtarzam, podstawą i najważniejszym elementem leczenia oraz profilaktyki zapalenia dziąseł jest prawidłowa i regularna higiena jamy ustnej. Bez tego żadne inne metody nie przyniosą długotrwałych rezultatów. Oto kluczowe zasady:
- Wybór szczoteczki i pasty: Używaj miękkiej szczoteczki do zębów, aby nie podrażniać dziąseł, oraz pasty z fluorem, która wzmacnia szkliwo. Warto rozważyć pasty przeznaczone do wrażliwych dziąseł.
- Technika szczotkowania: Szczotkuj zęby delikatnymi, okrężnymi lub wymiatającymi ruchami, skupiając się na linii dziąseł, gdzie najczęściej gromadzi się płytka. Pamiętaj o wszystkich powierzchniach zębów zewnętrznych, wewnętrznych i żujących.
- Częstotliwość: Myj zęby minimum dwa razy dziennie, najlepiej po każdym posiłku, przez co najmniej dwie minuty.
- Nitkowanie: Codziennie, przynajmniej raz dziennie, używaj nici dentystycznej lub irygatora do czyszczenia przestrzeni międzyzębowych. To właśnie tam gromadzi się najwięcej płytki bakteryjnej, której szczoteczka nie jest w stanie usunąć.
Ziołowe płukanki: Moc szałwii, rumianku i kory dębu w służbie zdrowia
Natura oferuje nam wiele składników o udowodnionym działaniu przeciwzapalnym i antybakteryjnym, które świetnie sprawdzają się jako uzupełnienie codziennej higieny. Ziołowe płukanki mogą przynieść ulgę i wspomóc proces gojenia. Pamiętaj, aby zawsze przygotowywać je zgodnie z instrukcją na opakowaniu.
- Szałwia: Działa ściągająco i antyseptycznie, pomagając zmniejszyć krwawienie i zwalczać bakterie.
- Rumianek: Znany ze swoich właściwości przeciwzapalnych i łagodzących, idealny do ukojenia podrażnionych dziąseł.
- Kora dębu: Ma silne działanie ściągające i przeciwbakteryjne, wspomaga regenerację dziąseł.
- Tymianek: Posiada właściwości antyseptyczne, pomaga w walce z drobnoustrojami w jamie ustnej.
Słona woda i woda utleniona: Czy te proste roztwory są bezpieczne i skuteczne?
Płukanki z roztworu soli kuchennej to sprawdzony, domowy sposób na zmniejszenie obrzęku i działanie antyseptyczne. Wystarczy rozpuścić pół łyżeczki soli w szklance ciepłej wody i płukać jamę ustną kilka razy dziennie. Woda utleniona również może być stosowana, ale z dużą ostrożnością. Kluczowe jest odpowiednie rozcieńczenie zazwyczaj zaleca się rozcieńczenie 3% wody utlenionej w stosunku 1:1 z wodą. Nierozcieńczona woda utleniona może podrażnić dziąsła. Płukanki te mają działanie odkażające, ale nie powinny być stosowane długotrwale bez konsultacji ze stomatologiem.
Dieta dla zdrowych dziąseł: Jakie produkty włączyć, a czego unikać?
To, co jemy, ma ogromny wpływ na zdrowie całego organizmu, w tym dziąseł. Dieta bogata w odpowiednie składniki odżywcze może wspierać ich odporność i zdolności regeneracyjne. Z drugiej strony, niektóre produkty mogą sprzyjać rozwojowi bakterii i pogarszać stan zapalny.
-
Włącz do diety:
- Cytrusy, papryka, brokuły to doskonałe źródła witaminy C, niezbędnej dla zdrowej tkanki łącznej i odporności dziąseł.
- Produkty pełnoziarniste, mięso, ryby, rośliny strączkowe dostarczają witamin z grupy B, które wspierają metabolizm komórkowy i regenerację.
-
Unikaj/ograniczaj:
- Słodycze, napoje słodzone, przetworzona żywność cukry są pożywką dla bakterii w jamie ustnej, sprzyjając tworzeniu płytki nazębnej i nasilając stan zapalny.
Pamiętaj, że domowe sposoby to tylko wsparcie. Gdy objawy są nasilone lub utrzymują się, niezbędna jest pomoc specjalisty.
Leczenie zapalenia dziąseł u dentysty: Kiedy potrzebna jest pomoc specjalisty?
Choć domowe metody są ważne, w wielu przypadkach zapalenia dziąseł niezbędna jest profesjonalna interwencja stomatologiczna. To właśnie w gabinecie dentystycznym możemy skutecznie usunąć główne przyczyny problemu i zastosować bardziej zaawansowane terapie. Jako Gabriel Duda, zawsze podkreślam, że regularne wizyty kontrolne i profesjonalna higienizacja to podstawa.
Skaling i piaskowanie: Dlaczego usunięcie kamienia to absolutna podstawa?
Skaling i piaskowanie to kluczowe zabiegi, które stanowią fundament profesjonalnego leczenia zapalenia dziąseł. Skaling polega na usunięciu twardego kamienia nazębnego, zarówno naddziąsłowego, jak i poddziąsłowego, za pomocą ultradźwięków. Następnie, piaskowanie usuwa miękkie osady, przebarwienia i resztki płytki nazębnej z powierzchni zębów. Bez usunięcia kamienia, który jest siedliskiem bakterii, żadne inne metody leczenia nie będą w pełni skuteczne. To absolutna podstawa do przywrócenia zdrowia dziąsłom.
Czym jest kiretaż i kiedy stomatolog decyduje się na ten krok?
W bardziej zaawansowanych przypadkach zapalenia przyzębia, gdy kieszonki dziąsłowe są głębokie, a stan zapalny dotyczy również kości, periodontolog może zdecydować się na zabieg kiretażu. Kiretaż to głębokie czyszczenie kieszonek dziąsłowych, mające na celu usunięcie kamienia poddziąsłowego, ziarniny zapalnej i zainfekowanych tkanek. Może być wykonany jako kiretaż zamknięty (bez odchylania płata dziąsłowego) lub kiretaż otwarty (z chirurgicznym odsłonięciem korzenia zęba), w zależności od głębokości kieszonek i zaawansowania choroby.
Pasty, żele i płyny z apteki: Co warto wybrać bez recepty?
Rynek farmaceutyczny oferuje wiele produktów bez recepty, które mogą skutecznie wspomagać leczenie zapalenia dziąseł i łagodzić jego objawy. Zawsze jednak warto skonsultować ich wybór z dentystą lub farmaceutą, aby dobrać te najodpowiedniejsze dla Twojego przypadku.
-
Pasty do zębów:
- Z chlorheksydyną (w niższych stężeniach): Działa silnie antybakteryjnie, redukując płytkę nazębną.
- Z ziołowymi ekstraktami (np. szałwią, rumiankiem): Działają przeciwzapalnie i łagodząco.
- O działaniu przeciwzapalnym i wzmacniającym szkliwo.
-
Płyny do płukania ust:
- Antybakteryjne (np. Eludril, Corsodyl, GUM Paroex): Skutecznie redukują ilość bakterii w jamie ustnej i płytkę nazębną. Należy stosować je zgodnie z zaleceniami, często przez ograniczony czas.
- Redukujące płytkę nazębną i odświeżające oddech.
-
Żele do stosowania miejscowego:
- Łagodzące stany zapalne i ból (np. Sachol, Elugel): Aplikowane bezpośrednio na dziąsła, przynoszą szybką ulgę.
Leczenie farmakologiczne: Kiedy antybiotyk staje się koniecznością?
W przypadku ciężkich, rozległych infekcji bakteryjnych, które towarzyszą zaawansowanemu zapaleniu dziąseł lub paradontozie, stomatolog może zdecydować się na włączenie leczenia farmakologicznego. Obejmuje to zazwyczaj przepisanie antybiotyków, które mają za zadanie zwalczyć patogenne bakterie odpowiedzialne za infekcję. Antybiotyki mogą być podawane ogólnie (w tabletkach) lub miejscowo (np. w postaci żelu aplikowanego do kieszonek dziąsłowych). Decyzja o ich zastosowaniu zawsze należy do lekarza i jest podejmowana po dokładnej ocenie stanu pacjenta.
Przeczytaj również: Jak wyleczyć stan zapalny dziąseł? Porady eksperta
Jak zapobiegać nawrotom zapalenia dziąseł i dbać o zdrowie jamy ustnej?
Leczenie zapalenia dziąseł to jedno, ale prawdziwym wyzwaniem jest zapobieganie jego nawrotom i utrzymanie zdrowia jamy ustnej na dłuższą metę. Z mojego punktu widzenia, klucz leży w konsekwencji i świadomości. Nieleczone zapalenie dziąseł to tykająca bomba, która może prowadzić do bardzo poważnych konsekwencji.
Twoja codzienna rutyna higieniczna, która stanie się tarczą ochronną
Jak już wielokrotnie podkreślałem, konsekwentna, codzienna i prawidłowa higiena jamy ustnej jest najważniejszym elementem w zapobieganiu nawrotom zapalenia dziąseł. To Twoja osobista tarcza ochronna. Regularne i dokładne szczotkowanie zębów (minimum dwa razy dziennie, przez dwie minuty) oraz codzienne nitkowanie przestrzeni międzyzębowych to absolutne minimum. Warto również rozważyć użycie płynów do płukania ust, zwłaszcza tych z substancjami antybakteryjnymi, jako uzupełnienie, a nie zamiennik szczotkowania i nitkowania. Pamiętaj, że to od Ciebie zależy, czy płytka nazębna będzie miała szansę się nagromadzić.Rola regularnych wizyt u dentysty i higienistki w zapobieganiu nawrotom
Nawet najbardziej sumienna higiena domowa nie zastąpi profesjonalnej opieki. Regularne kontrole stomatologiczne (co najmniej raz na 6-12 miesięcy) oraz profesjonalne zabiegi higienizacyjne (skaling i piaskowanie) wykonywane przez dentystę lub higienistkę stomatologiczną są kluczowe w utrzymaniu zdrowia dziąseł i zapobieganiu nawrotom. Specjalista jest w stanie zauważyć wczesne objawy problemów, usunąć kamień nazębny, którego nie jesteś w stanie usunąć samodzielnie, oraz udzielić spersonalizowanych wskazówek dotyczących Twojej higieny.
Jakie konsekwencje grożą, jeśli zignorujesz problem zapalenia dziąseł?
Nieleczone zapalenie dziąseł może przekształcić się w zapalenie przyzębia (paradontozę), które prowadzi do uszkodzenia tkanek utrzymujących zęby, ich rozchwiania, a w konsekwencji nawet utraty.
Ignorowanie zapalenia dziąseł to proszenie się o poważne problemy. Konsekwencje mogą być daleko idące, wpływając nie tylko na jamę ustną, ale i na ogólny stan zdrowia. Z mojego doświadczenia wiem, że wielu pacjentów nie zdaje sobie sprawy z powagi sytuacji, dopóki nie jest za późno.
- Przekształcenie w zapalenie przyzębia (paradontozę): To najpoważniejsza konsekwencja. Paradontoza to choroba, która atakuje tkanki utrzymujące ząb w kości, prowadząc do ich stopniowego niszczenia.
- Uszkodzenie tkanek utrzymujących zęby, prowadzące do ich rozchwiania: W miarę postępu paradontozy, kość i więzadła ozębnej ulegają zniszczeniu, co sprawia, że zęby stają się ruchome.
- W konsekwencji, utrata zębów: Rozchwiane zęby, pozbawione odpowiedniego wsparcia, mogą wypaść lub wymagać ekstrakcji.
- Zwiększone ryzyko chorób ogólnoustrojowych: Przewlekły stan zapalny w jamie ustnej może mieć wpływ na cały organizm. Badania wskazują na związek między paradontozą a zwiększonym ryzykiem chorób sercowo-naczyniowych (miażdżyca, zawał serca), cukrzycy (utrudniona kontrola poziomu cukru), a nawet powikłań ciążowych.




