Zapalenie dziąseł to powszechna dolegliwość, która dotyka miliony ludzi na całym świecie. Niestety, często bywa bagatelizowana, ponieważ jej wczesne objawy mogą być subtelne i bezbolesne. Wczesne rozpoznanie tych sygnałów jest jednak kluczowe, aby zapobiec poważniejszym komplikacjom, takim jak paradontoza, która może prowadzić nawet do utraty zębów. Ten artykuł ma za zadanie być Twoim przewodnikiem, pomagającym zidentyfikować problem i zrozumieć, kiedy należy podjąć działanie.
Zaczerwienienie, obrzęk i krwawienie dziąseł to główne objawy zapalenia, których nie wolno ignorować.
- Wczesne objawy zapalenia dziąseł to zaczerwienienie, obrzęk, krwawienie (często bezbolesne), nadwrażliwość i nieświeży oddech.
- Zaawansowane stadium może prowadzić do recesji dziąseł, pojawienia się ropy i rozchwiania zębów.
- Główną przyczyną jest niewłaściwa higiena jamy ustnej, skutkująca gromadzeniem się płytki bakteryjnej i kamienia nazębnego.
- Nieleczone zapalenie dziąseł przekształca się w nieodwracalną paradontozę, która jest główną przyczyną utraty zębów u dorosłych.
- Przewlekły stan zapalny w jamie ustnej zwiększa ryzyko chorób sercowo-naczyniowych, udaru mózgu i problemów z kontrolą cukrzycy.
- W przypadku zauważenia objawów niezbędna jest wizyta u stomatologa w celu profesjonalnej diagnozy i leczenia.
Jak rozpoznać pierwsze sygnały zapalenia dziąseł?
W mojej praktyce często obserwuję, że pacjenci zgłaszają się do gabinetu dopiero wtedy, gdy objawy zapalenia dziąseł stają się naprawdę uciążliwe. Tymczasem pierwsze sygnały są zazwyczaj bardzo charakterystyczne, choć łatwo je przeoczyć. Najczęściej pojawia się krwawienie dziąseł, zwłaszcza podczas szczotkowania zębów, nitkowania, a czasem nawet podczas jedzenia twardych pokarmów. Dziąsła mogą również stać się zaczerwienione ich kolor zmienia się z naturalnego, jasnoróżowego na jaskrawoczerwony, a nawet sinofioletowy. Często towarzyszy temu obrzęk, sprawiający, że dziąsła wydają się spuchnięte i grubsze niż zwykle. Dodatkowo, pacjenci skarżą się na nieświeży oddech, czyli halitozę, oraz nieprzyjemny posmak w ustach, który jest efektem namnażania się bakterii. Co ważne, we wczesnym stadium choroby te objawy zazwyczaj nie są bolesne, co niestety usypia naszą czujność.
- Krwawienie dziąseł: Podczas szczotkowania, nitkowania lub jedzenia.
- Zaczerwienienie dziąseł: Zmiana koloru z różowego na jaskrawoczerwony lub siny.
- Obrzęk dziąseł: Dziąsła wydają się spuchnięte i powiększone.
- Nieświeży oddech (halitoza): Utrzymujący się nieprzyjemny zapach z ust.
- Nieprzyjemny posmak w ustach: Często metaliczny lub gorzki.
- Brak bólu: Wczesne stadium zapalenia dziąseł zazwyczaj nie jest bolesne.

Pełna lista objawów zapalenia dziąseł: Sprawdź, czy dotyczy Ciebie
Wczesne sygnały alarmowe, które często bagatelizujemy
Wczesne sygnały zapalenia dziąseł są często na tyle subtelne, że łatwo je zignorować, zwłaszcza gdy nie towarzyszy im ból. W mojej praktyce widzę, że pacjenci często bagatelizują delikatną nadwrażliwość dziąseł, sporadyczne krwawienie podczas nitkowania czy lekkie zaczerwienienie na linii dziąseł, uznając to za "normalne" lub wynik zbyt mocnego szczotkowania. Tymczasem to właśnie te z pozoru niegroźne symptomy są pierwszym dzwonkiem alarmowym, wskazującym na początek procesu zapalnego. Pamiętajmy, że zdrowe dziąsła nie krwawią i nie bolą.
- Nadwrażliwość i tkliwość dziąseł przy dotyku: Dziąsła mogą być wrażliwe na nacisk, nawet delikatne dotknięcie palcem lub szczoteczką.
- Delikatne zaczerwienienie na linii dziąseł: Zauważalne jest lekkie zaczerwienienie w miejscu, gdzie dziąsło styka się z zębem, często trudne do dostrzeżenia na pierwszy rzut oka.
- Sporadyczne krwawienie podczas nitkowania: Krwawienie nie jest obfite i pojawia się tylko przy użyciu nici dentystycznej, co często jest interpretowane jako błąd w technice.
- Brak bólu: To kluczowy element, który sprawia, że wczesne objawy są często ignorowane. Pacjenci nie czują potrzeby wizyty u dentysty, dopóki nie pojawi się dyskomfort.
Objawy świadczące o rozwoju choroby
Kiedy zapalenie dziąseł postępuje, objawy stają się bardziej wyraźne i uciążliwe. To już nie tylko sporadyczne krwawienie, ale regularne i obfite, które może pojawiać się samoistnie lub przy minimalnym podrażnieniu. Dziąsła stają się wyraźnie opuchnięte, a ich kolor zmienia się na intensywnie czerwony, a nawet siny. W tym stadium pacjenci często zaczynają odczuwać ból i dyskomfort, zwłaszcza podczas jedzenia, co może prowadzić do unikania niektórych pokarmów. To sygnał, że choroba rozwija się i wymaga interwencji.
- Wyraźna opuchlizna dziąseł: Dziąsła są widocznie powiększone, mogą zakrywać większą część zębów.
- Intensywnie czerwony lub siny kolor dziąseł: Zamiast zdrowego różu, dziąsła przybierają ciemniejszy, niezdrowy odcień.
- Regularne i obfite krwawienie: Krwawienie pojawia się nie tylko przy szczotkowaniu, ale także spontanicznie lub przy lekkim dotyku.
- Ból dziąseł i dyskomfort podczas jedzenia: Dziąsła stają się bolesne, a gryzienie i żucie pokarmów sprawia trudność.
- Cofanie się dziąseł (początkowe stadium recesji): Można zauważyć, że dziąsła zaczynają się delikatnie cofać, odsłaniając fragmenty szyjek zębowych.
Symptomy zaawansowanego stanu zapalnego kiedy działać natychmiast?
Jeśli zauważysz u siebie poniższe objawy, to sygnał, że choroba jest już w zaawansowanym stadium i wymaga natychmiastowej interwencji stomatologicznej. W tym momencie zapalenie dziąseł często przekształciło się już w paradontozę, która nieleczona prowadzi do nieodwracalnych uszkodzeń. Recesja dziąseł, pojawienie się ropy czy rozchwianie zębów to symptomy, które świadczą o poważnym zagrożeniu dla zdrowia całej jamy ustnej i stabilności zębów. Nie ma tu miejsca na zwłokę każdy dzień opóźnienia zwiększa ryzyko utraty zęba.
- Recesja dziąseł (odsłonięte szyjki zębowe): Dziąsła wyraźnie się cofają, odsłaniając korzenie zębów, co sprawia, że zęby wydają się "dłuższe".
- Nadwrażliwość zębów na zimno/ciepło: Odsłonięte szyjki zębowe stają się bardzo wrażliwe na zmiany temperatury.
- Pojawienie się ropy między zębem a dziąsłem: Można zauważyć wydzielinę ropną, często przy ucisku na dziąsło. To znak aktywnego zakażenia.
- Rozchwianie zębów: Zęby stają się ruchome, co jest alarmującym sygnałem uszkodzenia kości podtrzymującej ząb.
- Zmiana pozycji zębów: Zęby mogą się przesuwać, tworząc szpary lub zmieniając układ zgryzu.
- Silny, uporczywy ból: Ból może być stały i bardzo intensywny, utrudniający codzienne funkcjonowanie.

Poznaj najczęstsze przyczyny zapalenia dziąseł
Zapalenie dziąseł to choroba wieloczynnikowa, ale w mojej ocenie, a także zgodnie z literaturą medyczną, istnieje jedna dominująca przyczyna. Zrozumienie jej jest kluczowe dla skutecznej profilaktyki i leczenia.
Wróg numer jeden: Płytka bakteryjna i kamień nazębny
Podstawową i najczęstszą przyczyną zapalenia dziąseł jest niewłaściwa higiena jamy ustnej. Kiedy nie szczotkujemy zębów regularnie i dokładnie, na ich powierzchni gromadzi się miękki, lepki nalot zwany płytką bakteryjną. Płytka ta składa się głównie z bakterii, resztek pokarmowych i śliny. Bakterie te produkują toksyny, które podrażniają dziąsła, prowadząc do stanu zapalnego. Jeśli płytka bakteryjna nie jest regularnie usuwana, z czasem ulega mineralizacji pod wpływem składników mineralnych zawartych w ślinie, tworząc twardy osad kamień nazębny. Kamień nazębny jest porowaty, co czyni go idealnym środowiskiem dla dalszego namnażania się bakterii i jeszcze silniej podrażnia dziąsła, pogłębiając stan zapalny.
Styl życia, który szkodzi Twoim dziąsłom: papierosy, stres i zła dieta
Poza higieną jamy ustnej, wiele czynników związanych ze stylem życia może znacząco zwiększać ryzyko zapalenia dziąseł i utrudniać jego leczenie. Na czele listy stoi palenie tytoniu palacze są znacznie bardziej narażeni na choroby dziąseł, a ich dziąsła gorzej reagują na leczenie. Nikotyna zwęża naczynia krwionośne, co zmniejsza dopływ tlenu i składników odżywczych do dziąseł, maskuje krwawienie i osłabia ich zdolność do regeneracji. Dieta uboga w witaminy, zwłaszcza witaminę C i witaminy z grupy B, również osłabia odporność dziąseł i czyni je bardziej podatnymi na infekcje. Nie można zapomnieć o stresie, który ogólnie osłabia układ odpornościowy organizmu, co może sprzyjać rozwojowi stanów zapalnych w jamie ustnej.
Kiedy organizm sam zwiększa ryzyko: choroby ogólnoustrojowe i zmiany hormonalne
Niekiedy problem z dziąsłami nie wynika wyłącznie z zaniedbań higienicznych, ale jest ściśle powiązany ze stanem ogólnym organizmu. Istnieje wiele chorób ogólnoustrojowych, które mogą zwiększać podatność na zapalenie dziąseł lub pogarszać jego przebieg. Należą do nich między innymi cukrzyca, białaczka, AIDS oraz inne schorzenia obniżające odporność. Ponadto, zmiany hormonalne, takie jak te występujące w okresie ciąży, dojrzewania czy menopauzy, mogą znacząco wpływać na kondycję dziąseł. Również przyjmowanie niektórych leków, np. przeciwpadaczkowych, niektórych leków na nadciśnienie czy sterydów, może mieć negatywny wpływ na tkanki przyzębia.
Zapalenie dziąseł w ciąży dlaczego to tak częsty problem?
Ciąża to wyjątkowy okres w życiu kobiety, który wiąże się z ogromnymi zmianami hormonalnymi. Wzrost poziomu progesteronu i estrogenów sprawia, że dziąsła stają się bardziej wrażliwe na płytkę bakteryjną, zwiększając ich skłonność do stanów zapalnych. To zjawisko, nazywane ciążowym zapaleniem dziąseł, dotyka według różnych szacunków nawet do 100% przyszłych matek. Dziąsła stają się wtedy bardziej zaczerwienione, obrzęknięte i łatwiej krwawią. Dlatego tak ważne jest, aby kobiety w ciąży szczególnie dbały o higienę jamy ustnej i regularnie odwiedzały stomatologa.
Cukrzyca a zdrowie jamy ustnej: naczynia połączone
Związek między cukrzycą a zdrowiem jamy ustnej jest bardzo ścisły i dwukierunkowy. Osoby z niekontrolowaną lub źle kontrolowaną cukrzycą są znacznie bardziej narażone na rozwój zapalenia dziąseł i paradontozy. Wysoki poziom cukru we krwi sprzyja namnażaniu się bakterii, osłabia układ odpornościowy i upośledza zdolność organizmu do gojenia się. Z drugiej strony, przewlekłe stany zapalne w jamie ustnej, takie jak zaawansowane zapalenie dziąseł, mogą utrudniać kontrolę poziomu cukru we krwi, tworząc błędne koło. Dlatego zarządzanie cukrzycą jest kluczowe dla zdrowia dziąseł, a dbanie o dziąsła wspomaga kontrolę cukrzycy.
Zdrowe dziąsła kontra zapalenie: Jak je odróżnić?
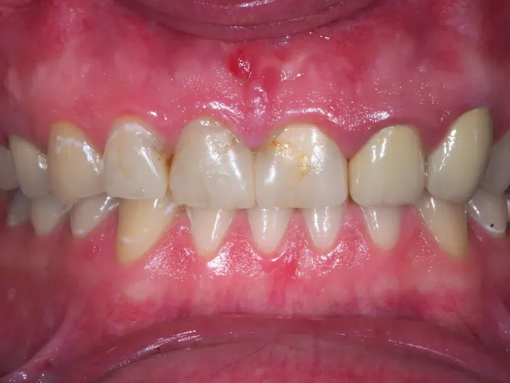
Często pacjenci mają problem z odróżnieniem zdrowych dziąseł od tych objętych stanem zapalnym. Widząc różne odcienie różu czy sporadyczne krwawienie, nie zawsze wiedzą, czy to powód do niepokoju. Pamiętam, jak jeden z moich pacjentów był zaskoczony, gdy pokazałem mu na zdjęciu, jak powinny wyglądać zdrowe dziąsła. To właśnie wizualne porównanie jest często najbardziej przekonujące. Zdrowe dziąsła są jasnoróżowe, jędrne i ściśle przylegają do zębów, tworząc delikatne, scalloped marginesy. Nie krwawią podczas szczotkowania ani nitkowania i nie są bolesne. Natomiast dziąsła objęte stanem zapalnym, jak już wspominałem, są zaczerwienione (od jaskrawoczerwonego do sinofioletowego), obrzęknięte i miękkie w dotyku. Bardzo łatwo krwawią, nawet przy delikatnym podrażnieniu, a w zaawansowanym stadium mogą być bolesne i odsłaniać szyjki zębowe. Obraz, który umieściłem wcześniej, doskonale ilustruje te różnice, pomagając wizualnie ocenić stan swoich dziąseł.
Test samooceny: 3 proste kroki, by sprawdzić kondycję swoich dziąseł
Chociaż profesjonalna diagnoza stomatologiczna jest niezastąpiona, możesz samodzielnie przeprowadzić prosty test, aby wstępnie ocenić kondycję swoich dziąseł. Zajmie Ci to tylko chwilę i może być pierwszym krokiem do podjęcia odpowiednich działań.
- Obserwuj kolor dziąseł: Stań przed lustrem w dobrze oświetlonym miejscu. Przyjrzyj się dziąsłom. Czy mają jednolity, jasnoróżowy kolor? Czy są zaczerwienione, zwłaszcza na linii styku z zębami, lub mają ciemniejszy, siny odcień?
- Oceń teksturę i kształt: Zdrowe dziąsła są jędrne i ściśle przylegają do zębów. Czy Twoje dziąsła wyglądają na opuchnięte, miękkie lub "rozlane"? Czy odstają od zębów?
- Sprawdź reakcję na delikatny dotyk: Użyj czystej szczoteczki do zębów lub nici dentystycznej. Delikatnie przesuwaj nią wzdłuż linii dziąseł i między zębami. Czy dziąsła krwawią? Czy odczuwasz ból lub nadwrażliwość? Pamiętaj, że zdrowe dziąsła nie krwawią nawet przy prawidłowym szczotkowaniu i nitkowaniu.
Groźniejsze niż myślisz: Konsekwencje nieleczonego zapalenia dziąseł
To, co często umyka uwadze, to fakt, że zapalenie dziąseł to nie tylko problem estetyczny czy chwilowy dyskomfort. To poważna choroba, która dotyka ogromną część społeczeństwa. Według statystyk, zapalenie dziąseł dotyka od 80% do nawet 95% dorosłych w Polsce. Co więcej, jest ono główną przyczyną rozwoju paradontozy, która jest już chorobą o znacznie poważniejszych konsekwencjach.
Odwracalne zapalenie dziąseł vs nieodwracalna paradontoza
Kluczowe jest zrozumienie różnicy między tymi dwoma stanami. Zapalenie dziąseł (gingivitis) jest chorobą odwracalną. Oznacza to, że jeśli zostanie wcześnie zdiagnozowane i odpowiednio leczone (głównie poprzez profesjonalne czyszczenie i poprawę higieny), dziąsła mogą wrócić do pełnego zdrowia bez trwałych uszkodzeń. Niestety, jeśli zapalenie dziąseł jest ignorowane i nieleczone, z czasem przekształca się w paradontozę (zapalenie przyzębia). Paradontoza jest już chorobą nieodwracalną. W jej przebiegu dochodzi do uszkodzenia tkanek utrzymujących ząb w kości dziąseł, więzadeł ozębnej i samej kości wyrostka zębodołowego. Proces ten prowadzi do powstawania tzw. kieszonek dziąsłowych, w których gromadzą się bakterie, a następnie do zaniku kości. Ostatecznym i najpoważniejszym skutkiem nieleczonej paradontozy jest rozchwianie, a następnie utrata zębów.
Jak problemy z dziąsłami wpływają na serce i cały organizm?
Warto podkreślić, że jama ustna nie jest odizolowanym systemem. Przewlekły stan zapalny w dziąsłach, zwłaszcza w zaawansowanej paradontozie, ma ogromny wpływ na zdrowie całego organizmu. Bakterie i toksyny z jamy ustnej mogą przedostawać się do krwiobiegu, zwiększając ryzyko wielu poważnych chorób ogólnoustrojowych. Badania naukowe wyraźnie wskazują na związek między nieleczonym zapaleniem dziąseł a zwiększonym ryzykiem chorób sercowo-naczyniowych, takich jak miażdżyca, zawał serca czy udar mózgu. Ponadto, jak już wspominałem, problemy z dziąsłami mogą znacząco utrudniać kontrolę cukrzycy, prowadząc do wyższego poziomu cukru we krwi. To pokazuje, jak ważne jest dbanie o zdrowie jamy ustnej nie tylko dla pięknego uśmiechu, ale dla całego organizmu.
Nie czekaj na rozwój choroby: Co robić, gdy zauważysz objawy?
Jeśli zauważyłeś u siebie jakiekolwiek z wymienionych objawów, nie panikuj, ale działaj! Im szybciej zareagujesz, tym większe szanse na pełne wyleczenie i uniknięcie poważniejszych konsekwencji. Moje doświadczenie pokazuje, że wielu pacjentów zwleka z wizytą, co niestety często prowadzi do pogorszenia stanu.
Krok pierwszy i najważniejszy: Umów wizytę u stomatologa
To absolutnie kluczowy krok. Profesjonalna diagnoza i leczenie stomatologiczne są niezastąpione. Stomatolog dokładnie oceni stan Twoich dziąseł, zbada głębokość kieszonek dziąsłowych (co jest wskaźnikiem zaawansowania choroby) i postawi precyzyjną diagnozę. Podstawą leczenia zapalenia dziąseł jest usunięcie przyczyny, czyli płytki bakteryjnej i kamienia nazębnego. Odbywa się to poprzez zabiegi takie jak skaling (usuwanie kamienia ultradźwiękami) i piaskowanie (usuwanie osadów i przebarwień strumieniem piasku pod ciśnieniem). Czasami konieczne może być również leczenie w głębszych kieszonkach dziąsłowych.
Domowe sposoby, które wspomogą leczenie (ale go nie zastąpią)
Chociaż domowe metody mogą przynieść ulgę i wspomóc proces leczenia, nigdy nie zastąpią profesjonalnej terapii stomatologicznej. Mogą być jednak cennym uzupełnieniem. Po konsultacji ze stomatologiem możesz stosować płukanki antyseptyczne (np. z chlorheksydyną, ale tylko przez ograniczony czas, aby uniknąć przebarwień zębów), które pomagają redukować ilość bakterii w jamie ustnej. Dostępne są również specjalne żele na dziąsła, które działają przeciwzapalnie i regenerująco. Pamiętaj jednak, aby zawsze stosować je zgodnie z zaleceniami lekarza lub farmaceuty i traktować jako wsparcie, a nie główną metodę leczenia.Przeczytaj również: Zdjęcie szwów z dziąsła: cena, ból, terminy. Kiedy jest za darmo?
Zmiana nawyków kluczem do sukcesu: Jak prawidłowo dbać o higienę jamy ustnej?
Po profesjonalnym czyszczeniu i wdrożeniu leczenia, to Twoja codzienna higiena jamy ustnej będzie decydować o długoterminowym sukcesie. Bez zmiany nawyków, problem będzie nawracał. Oto najważniejsze wskazówki, które zawsze przekazuję moim pacjentom:
- Prawidłowa technika szczotkowania: Szczotkuj zęby minimum dwa razy dziennie (najlepiej po każdym posiłku) przez co najmniej dwie minuty. Używaj miękkiej szczoteczki i wykonuj delikatne, wymiatające ruchy od dziąsła do korony zęba. Unikaj szorowania, które może uszkodzić dziąsła. Rozważ zakup szczoteczki elektrycznej (sonicznej), która często jest bardziej efektywna.
- Regularne używanie nici dentystycznej: To absolutny fundament! Nicią dentystyczną usuwasz płytkę bakteryjną i resztki jedzenia z przestrzeni międzyzębowych, gdzie szczoteczka nie dociera. Rób to codziennie, najlepiej wieczorem.
- Szczoteczki międzyzębowe: Jeśli masz większe przestrzenie między zębami, szczoteczki międzyzębowe są jeszcze skuteczniejsze niż nić dentystyczna. Dobierz ich rozmiar z pomocą stomatologa lub higienistki.
- Płukanki do ust: Używaj ich jako uzupełnienie, nie zastępstwo. Płukanki z fluorem wzmacniają szkliwo, a płukanki antyseptyczne (krótkotrwale) pomagają w walce z bakteriami.
- Regularne wizyty kontrolne: Odwiedzaj stomatologa co najmniej raz na 6 miesięcy, nawet jeśli nic Cię nie boli. Profesjonalne czyszczenie i kontrola pomogą wykryć i zapobiec problemom na wczesnym etapie.




