Opuchlizna dziąseł to problem, z którym wielu z nas boryka się od czasu do czasu. Objawia się zaczerwienieniem, obrzękiem, a często także bólem i krwawieniem, co może znacząco wpływać na komfort jedzenia i mówienia. W tym artykule, jako Gabriel Duda, chcę przedstawić Wam kompleksowy przewodnik, który pomoże szybko znaleźć ulgę w domu, a także jasno wskaże, kiedy konieczna jest wizyta u dentysty, aby uniknąć poważniejszych problemów.
Opuchnięte dziąsła: szybka pomoc i sygnały alarmowe, których nie wolno ignorować
- Główną przyczyną opuchniętych dziąseł jest zazwyczaj niewłaściwa higiena jamy ustnej, prowadząca do gromadzenia się płytki bakteryjnej i kamienia nazębnego.
- Skuteczne domowe metody obejmują płukanki ziołowe (szałwia, rumianek, kora dębu), roztwór soli kuchennej, sodę oczyszczoną oraz zimne okłady.
- W aptece bez recepty dostępne są żele stomatologiczne (np. Sachol, Baikadent) oraz specjalistyczne płyny do płukania z chlorheksydyną, które mogą przynieść ulgę.
- Natychmiastowa wizyta u dentysty jest konieczna, jeśli opuchlizna utrzymuje się dłużej niż 3-5 dni, pojawia się silny ból, gorączka, ropień, dziąsła mocno krwawią lub zęby stają się ruchome.

Dlaczego dziąsła puchną i bolą
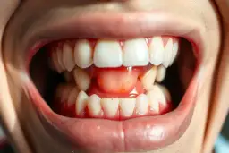
Zdrowe dziąsła powinny być różowe, jędrne i niekrwawiące podczas szczotkowania czy nitkowania. Kiedy jednak pojawia się stan zapalny, ich wygląd i zachowanie drastycznie się zmieniają. Stają się one czerwone, opuchnięte, miękkie w dotyku i często krwawią nawet przy delikatnym szczotkowaniu. Z mojego doświadczenia wiem, że ten dyskomfort jest sygnałem, że coś jest nie tak i wymaga naszej uwagi.
- Niewłaściwa higiena jamy ustnej: To najczęstszy winowajca. Niedokładne szczotkowanie i brak nitkowania prowadzą do gromadzenia się płytki bakteryjnej i kamienia nazębnego, co jest idealnym środowiskiem dla rozwoju stanu zapalnego, czyli gingivitis.
- Zapalenie dziąseł i paradontoza: Nieleczone zapalenie dziąseł może postępować, przekształcając się w paradontozę. Jest to poważniejsza choroba, która atakuje tkanki utrzymujące zęby, prowadząc do ich rozchwiania, a nawet utraty.
- Zmiany hormonalne: Kobiety są szczególnie narażone na opuchliznę dziąseł w okresach wahań hormonalnych, takich jak ciąża (tzw. ciążowe zapalenie dziąseł), cykl menstruacyjny czy okres dojrzewania. Hormony wpływają na reakcję dziąseł na płytkę bakteryjną.
- Przyczyny mechaniczne: Czasami problem leży w fizycznym podrażnieniu. Może to być zbyt mocne szczotkowanie, źle dopasowany aparat ortodontyczny, ruchoma proteza, a nawet resztki jedzenia, które utknęły między zębami i wywołały miejscowy stan zapalny.
- Wyrzynające się zęby: Nie tylko niemowlęta cierpią z powodu ząbkowania. U dorosłych opuchlizna i ból dziąseł często towarzyszą wyrzynaniu się zębów mądrości, czyli ósemek.
- Niedobory witamin: Dieta ma ogromny wpływ na zdrowie całego organizmu, w tym dziąseł. Niedobór witamin C i K może osłabiać dziąsła, czyniąc je bardziej podatnymi na stany zapalne i krwawienia.
- Infekcje i ropnie: Opuchlizna może być również objawem poważniejszej infekcji, takiej jak ropień zęba, infekcja bakteryjna, wirusowa (np. opryszczka) lub grzybicza (pleśniawki). W takich przypadkach konieczna jest szybka interwencja.
Szybka ulga w domu: sprawdzone sposoby na bolące dziąsła
Kiedy dziąsła zaczynają boleć i puchnąć, naturalne jest, że szukamy szybkiej ulgi. Na szczęście istnieje wiele sprawdzonych domowych sposobów, które mogą pomóc złagodzić objawy, zanim udamy się do specjalisty. Pamiętajcie jednak, że to rozwiązania doraźne, nie zastępujące wizyty u dentysty, jeśli problem się utrzymuje.
Płukanki ziołowe to moi faworyci, ze względu na ich naturalne właściwości.
- Szałwia: Znana z właściwości ściągających i przeciwzapalnych. Aby przygotować napar, zalej łyżkę suszonych liści szałwii szklanką wrzątku i parz pod przykryciem przez około 15 minut. Po przestudzeniu płucz usta kilka razy dziennie.
- Rumianek: Działa łagodząco, przeciwzapalnie i antyseptycznie. Przygotowanie jest podobne jak w przypadku szałwii łyżka suszonego rumianku na szklankę wrzątku.
- Kora dębu: Ma silne działanie ściągające i przeciwzapalne, co pomaga zmniejszyć obrzęk i krwawienie. Łyżkę kory dębu zalej szklanką wody i gotuj na małym ogniu przez około 5-10 minut, a następnie odcedź i ostudź.
Roztwór soli kuchennej to prosty, ale skuteczny sposób na zmniejszenie obrzęku i odkażenie jamy ustnej. Wystarczy rozpuścić jedną łyżeczkę soli w szklance ciepłej wody. Płucz usta tym roztworem przez około 30 sekund, kilka razy dziennie, zwłaszcza po posiłkach. Sól pomaga wyciągnąć nadmiar płynu z opuchniętych tkanek i działa antybakteryjnie.
Soda oczyszczona to kolejny sprzymierzeniec w walce z opuchlizną. Możesz przygotować z niej pastę, mieszając ją z odrobiną wody, i delikatnie nałożyć na bolące dziąsło, a następnie spłukać. Soda neutralizuje kwasy w jamie ustnej i działa łagodnie antyseptycznie. Alternatywnie, rozpuść pół łyżeczki sody w szklance wody i używaj jako płukanki.
Jeśli ból jest silny, a dziąsła mocno opuchnięte, zimne okłady mogą przynieść natychmiastową ulgę. Przyłóż kompres z lodu (owinięty w cienką ściereczkę) do policzka, w miejscu, gdzie odczuwasz ból. Zimno pomoże zmniejszyć obrzęk i znieczulić okolicę. Warto również wspomnieć o olejku goździkowym i olejku z drzewa herbacianego. Olejek goździkowy jest znany z silnych właściwości przeciwbólowych i antyseptycznych wystarczy kroplę nałożyć na wacik i delikatnie przyłożyć do bolącego miejsca. Olejek z drzewa herbacianego działa antybakteryjnie i przeciwzapalnie. Pamiętajcie, aby stosować je punktowo i z dużą ostrożnością, ponieważ są to silne koncentraty i mogą podrażniać, jeśli zostaną użyte w nadmiarze.Kiedy dziąsła są opuchnięte, należy unikać pewnych rzeczy, aby nie pogorszyć sytuacji:
- Gorące i ostre potrawy: Mogą dodatkowo podrażniać stan zapalny i nasilać ból.
- Alkohol i palenie tytoniu: Zarówno alkohol, jak i nikotyna wysuszają śluzówkę i utrudniają gojenie, a także są czynnikami drażniącymi.
- Zbyt agresywne szczotkowanie: Nawet jeśli czujesz, że musisz usunąć płytkę, delikatność jest kluczowa. Używaj szczoteczki z miękkim włosiem i szczotkuj bardzo ostrożnie.
- Słodkie napoje i jedzenie: Cukier sprzyja rozwojowi bakterii, które pogłębiają stan zapalny dziąseł.
Kiedy domowe sposoby nie pomagają: leki bez recepty z apteki
Jeśli domowe metody nie przynoszą wystarczającej ulgi lub objawy są bardziej nasilone, warto sięgnąć po leki dostępne bez recepty w aptece. Są to zazwyczaj preparaty o działaniu miejscowym, które pomagają zwalczyć stan zapalny i złagodzić ból. Zawsze jednak dokładnie czytajcie ulotki i stosujcie się do zaleceń producenta.
| Nazwa preparatu | Działanie i składniki |
|---|---|
| Sachol | Działa przeciwzapalnie, przeciwbólowo i miejscowo odkażająco. Głównymi składnikami są salicylan choliny oraz chlorek cetalkoniowy. |
| Baikadent | Żel na bazie naturalnych ekstraktów roślinnych (tarczyca bajkalska, lukrecja, rumianek), które działają przeciwzapalnie i regenerująco. |
| Dentosept A Gel | Preparat o działaniu przeciwzapalnym, przeciwbólowym i ściągającym. Zawiera wyciągi z kory dębu, rumianku, arniki, mięty pieprzowej i tymianku. |
Oprócz żeli, bardzo pomocne mogą być specjalistyczne płyny do płukania jamy ustnej. Dostępne są płyny ziołowe, takie jak np. Dentosept, które wspierają leczenie stanów zapalnych dziąseł dzięki zawartości ekstraktów roślinnych. W przypadku silniejszych infekcji i stanów zapalnych, dentysta może zalecić płyny z chlorheksydyną (np. Eludril, Corsodyl). Chlorheksydyna jest silnym środkiem antyseptycznym, który skutecznie zwalcza bakterie odpowiedzialne za stany zapalne. Pamiętajcie jednak, że płyny z chlorheksydyną nie powinny być stosowane długotrwale bez konsultacji ze stomatologiem, ponieważ mogą powodować przebarwienia zębów.
W przypadku bardzo silnego bólu, który utrudnia funkcjonowanie, można doraźnie sięgnąć po ogólnodostępne leki przeciwbólowe, takie jak ibuprofen czy paracetamol. Pomogą one złagodzić dyskomfort, ale nie usuną przyczyny problemu. Zawsze przestrzegajcie zalecanego dawkowania i pamiętajcie, że są to rozwiązania tymczasowe. Jeśli ból nie ustępuje, to jasny sygnał, że potrzebna jest profesjonalna pomoc.
Opuchnięte dziąsła w szczególnych sytuacjach
Niektóre okresy w życiu lub specyficzne warunki mogą zwiększać ryzyko wystąpienia opuchlizny dziąseł. Zrozumienie tych czynników jest kluczowe, aby odpowiednio zareagować.
Zmiany hormonalne, zwłaszcza w ciąży, to bardzo częsta przyczyna zwiększonej wrażliwości i opuchlizny dziąseł. Wzrost poziomu progesteronu i estrogenów sprawia, że dziąsła stają się bardziej podatne na stany zapalne, nawet przy niewielkiej ilości płytki bakteryjnej. Jest to tzw. ciążowe zapalenie dziąseł. W tym okresie szczególnie ważna jest rygorystyczna higiena jamy ustnej i regularne wizyty u stomatologa, który może zalecić bezpieczne dla przyszłej mamy metody leczenia.Wyrzynanie się zębów mądrości (ósemek) to często bolesny proces, któremu towarzyszy opuchlizna dziąseł w tylnej części jamy ustnej. Dziąsło nad wyrzynającą się ósemką może być zaczerwienione, bolesne, a czasem nawet pojawia się miejscowy stan zapalny (tzw. zapalenie okołokoronowe). W domu można stosować zimne okłady, płukanki ziołowe lub roztwór soli, aby złagodzić objawy. Jeśli ból jest bardzo silny, pojawia się gorączka lub trudności z otwieraniem ust, konieczna jest wizyta u dentysty, który oceni, czy ósemka ma wystarczająco miejsca do prawidłowego wyrznięcia.
Użytkownicy aparatu ortodontycznego lub osoby noszące źle dopasowaną protezę również często doświadczają podrażnień i opuchlizny dziąseł. Aparat może ocierać o dziąsła, a resztki jedzenia łatwiej gromadzą się wokół jego elementów, sprzyjając stanom zapalnym. Podobnie, źle dopasowana proteza może uciskać lub ranić dziąsła. W takich przypadkach kluczowe jest utrzymanie nienagannej higieny jamy ustnej, stosowanie specjalnych szczoteczek ortodontycznych i płynów do płukania. Jeśli problem się utrzymuje, należy skonsultować się z ortodontą lub protetykiem w celu korekty aparatu lub protezy.
Czerwona flaga: kiedy pilnie iść do dentysty
Chociaż wiele problemów z opuchniętymi dziąsłami można złagodzić w domu, istnieją sygnały alarmowe, których absolutnie nie wolno ignorować. Jako Gabriel Duda zawsze podkreślam, że wczesna interwencja stomatologiczna jest kluczowa, aby zapobiec poważniejszym konsekwencjom. Jeśli zauważycie którykolwiek z poniższych objawów, wizyta u dentysty jest pilna:- Opuchlizna utrzymuje się dłużej niż 3-5 dni, pomimo stosowania domowych metod i leków bez recepty. To znak, że przyczyna jest głębsza i wymaga profesjonalnej diagnostyki.
- Pojawia się silny, pulsujący ból, który utrudnia jedzenie, mówienie, a nawet spanie. Taki ból często wskazuje na zaawansowany stan zapalny lub infekcję.
- Występuje gorączka lub ogólne złe samopoczucie. To może świadczyć o rozprzestrzenianiu się infekcji na cały organizm.
- Na dziąśle widoczny jest ropień, czyli biały pęcherzyk wypełniony ropą. Ropień wymaga natychmiastowego drenażu, aby ulżyć w bólu i usunąć źródło infekcji.
- Dziąsła mocno krwawią przy najdelikatniejszym dotyku lub zaczynają się cofać, odsłaniając szyjki zębowe. To objawy zaawansowanego zapalenia dziąseł lub paradontozy.
- Zęby stają się ruchome. To bardzo poważny sygnał, wskazujący na uszkodzenie tkanek utrzymujących zęby, często będący konsekwencją nieleczonej paradontozy.
- Opuchlizna rozprzestrzenia się na policzek lub szyję. Może to oznaczać, że infekcja postępuje i może prowadzić do poważnych komplikacji.
Podczas wizyty u stomatologa, w przypadku opuchniętych dziąseł, możecie spodziewać się przede wszystkim dokładnej diagnostyki. Dentysta oceni stan dziąseł, zębów, a często wykona zdjęcie rentgenowskie, aby zidentyfikować przyczynę problemu. Leczenie może obejmować profesjonalne czyszczenie zębów (skaling i piaskowanie), które usunie kamień nazębny i płytkę bakteryjną. W przypadku zaawansowanych stanów zapalnych lub paradontozy, konieczne może być specjalistyczne leczenie periodontologiczne. Jeśli przyczyną jest ropień, dentysta wykona jego drenaż, aby usunąć ropę i ulżyć w bólu.
Nie mogę wystarczająco podkreślić, jak ważne jest, aby nie lekceważyć nieleczonego stanu zapalnego dziąseł. Długofalowe konsekwencje mogą być bardzo poważne. Nieleczone zapalenie dziąseł prowadzi do rozwoju paradontozy, która stopniowo niszczy kość i więzadła utrzymujące zęby. Skutkuje to rozchwianiem, a w konsekwencji utratą zębów. Co więcej, przewlekły stan zapalny w jamie ustnej może mieć negatywny wpływ na ogólny stan zdrowia, zwiększając ryzyko chorób serca, cukrzycy czy problemów w ciąży. Dlatego tak ważne jest, aby reagować szybko i szukać profesjonalnej pomocy.
Przeczytaj również: Spuchnięte dziąsło? Domowe sposoby, leki z apteki i alarmy!
Jak zapobiegać opuchniętym dziąsłom na co dzień?
Najlepszym sposobem na uniknięcie problemów z opuchniętymi dziąsłami jest oczywiście profilaktyka. Wiem z własnego doświadczenia, że konsekwentna i prawidłowa higiena jamy ustnej to podstawa. Kluczową rolę odgrywa prawidłowa technika szczotkowania zębów powinniśmy szczotkować zęby dwa razy dziennie, przez co najmniej dwie minuty, używając szczoteczki z miękkim włosiem i wykonując delikatne, wymiatające ruchy. Równie ważne jest regularne nitkowanie zębów, które pozwala usunąć płytkę bakteryjną i resztki jedzenia z przestrzeni międzyzębowych, gdzie szczoteczka nie dociera. To właśnie te miejsca są często źródłem stanów zapalnych dziąseł.
Nie można zapominać o wpływie diety i odpowiedniego nawodnienia na zdrowie dziąseł. Zbilansowana dieta, bogata w witaminy, zwłaszcza witaminę C (silny antyoksydant, niezbędny do produkcji kolagenu, który buduje dziąsła) i witaminę K (ważna dla krzepnięcia krwi, co pomaga w przypadku krwawiących dziąseł), wzmacnia odporność organizmu i tkanki dziąseł. Unikajcie nadmiernego spożycia cukrów, które sprzyjają rozwojowi próchnicy i stanów zapalnych. Pamiętajcie również o piciu odpowiedniej ilości wody, co pomaga utrzymać odpowiednie nawilżenie jamy ustnej i spłukiwać resztki jedzenia.
Ostatnim, ale nie mniej ważnym elementem profilaktyki są regularne wizyty kontrolne u stomatologa oraz profesjonalne czyszczenie zębów. Nawet przy najlepszej higienie domowej, kamień nazębny może się gromadzić, zwłaszcza w trudno dostępnych miejscach. Skaling (usunięcie kamienia nazębnego) i piaskowanie (usunięcie osadów i przebarwień) wykonywane regularnie, zazwyczaj co 6-12 miesięcy, są niezbędne do utrzymania zdrowych dziąseł i zapobiegania rozwojowi chorób przyzębia. Dentysta może również wcześnie wykryć ewentualne problemy i zalecić odpowiednie działania, zanim staną się one poważne.




